You have no items in your shopping cart.
ALPP Antibody
SKU: orb2669421
Featured
Description
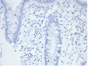
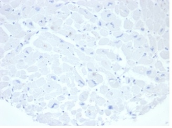
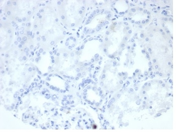
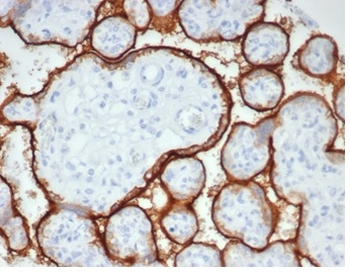
Images & Validation
−
| Tested Applications | FC |
|---|---|
| Dilution range | Flow Cyt 1:100 |
| Reactivity | Human |
Key Properties
−| Host | Rabbit |
|---|---|
| Clonality | Monoclonal |
| Isotype | Rabbit/Human Fc chimeric IgG1 |
| Clone No. | DMC686 |
| Target | ALPP |
| Purification | Purified from cell culture supernatant by affinity chromatography |
Storage & Handling
−| Storage | Maintain refrigerated at 2-8°C for up to 2 weeks. For long term storage store at -20°C in small aliquots to prevent freeze-thaw cycles. |
|---|---|
| Disclaimer | For research use only |
Alternative Names
−ALP; ALPI; IAP; PALP; PLAP; PLAP-1
Similar Products
−Alkaline Phosphatase (Placental) / PLAP (Germ Cell Tumor Marker) Antibody [orb1410309]
IHC, WB
Human
Mouse
Monoclonal
Unconjugated
100 μg (without BSA and Azide), 100 μg, 20 μgPlacental alkaline phosphatase (PLAP)/ALPP Antibody [orb389385]
FC, ICC, IF, IHC, WB
Human
Rabbit
Polyclonal
Unconjugated
100 μgALPP Antibody (monoclonal, 6C7G3) [orb1145867]
FC, ICC, IF, IHC, WB
Human
Mouse
Monoclonal
Unconjugated
100 μgHuman Alkaline Phosphatase, Placental (ALPP) ELISA Kit [orb775674]
Human
125-8000 pg/mL
50 pg/mL
96 T, 48 T

Quality Guarantee
Explore bioreagents carefree to elevate your research. All our products are rigorously tested for performance. If a product does not perform as described on its datasheet, our scientific support team will provide expert troubleshooting, a prompt replacement, or a refund. For full details, please see our Terms & Conditions and Buying Guide. Contact us at [email protected].
Quick Database Links
Gene Symbol
ALPP
UniProt
UniProt Details
− No UniProt data available
Documents Download
Datasheet
Product Information
Request a Document
ALPP Antibody (orb2669421)
Based on 0 reviews
Participating in our Biorbyt product reviews program enables you to support fellow scientists by sharing your firsthand experience with our products.
Login to Submit a Review



















