You have no items in your shopping cart.
Peroxin 2 rabbit pAb Antibody
Description
Images & Validation
−| Tested Applications | ELISA, IF, IHC, WB |
|---|---|
| Dilution Range | Western Blot: 1/500 - 1/2000. Immunohistochemistry: 1/100 - 1/300. ELISA: 1/20000. Not yet tested in other applications. |
| Reactivity | Human, Mouse, Rat |
Key Properties
−| Clonality | Polyclonal |
|---|---|
| Isotype | IgG |
| Immunogen | The antiserum was produced against synthesized peptide derived from human PXMP3. AA range:1-50 |
| Molecular Weight | 35 |
| Purification | The antibody was affinity-purified from rabbit antiserum by affinity-chromatography using epitope-specific immunogen. |
| Conjugation | Unconjugated |
Storage & Handling
−| Storage | Maintain refrigerated at 2-8°C for up to 2 weeks. For long term storage store at -20°C in small aliquots to prevent freeze-thaw cycles. |
|---|---|
| Buffer/Preservatives | PBS with 0.02% sodium azide and 50% glycerol pH 7.4. |
| Concentration | 1 mg/ml |
| Expiration Date | 12 months from date of receipt. |
| Disclaimer | For research use only |
Alternative Names
−Similar Products
−Peroxin 7 rabbit pAb Antibody [orb769447]
ELISA, IF, IHC, WB
Human, Mouse, Rat
Polyclonal
Unconjugated
100 μl, 50 μlPEX6 Rabbit pAb, PE-Cy5 conjugated [orb2869077]
IF
Equine, Human, Porcine, Rabbit, Rat
Mouse
Rabbit
Polyclonal
PE/Cy5
100 μlPEX6 Rabbit pAb, PE-Cy5.5 conjugated [orb2869078]
IF
Equine, Human, Porcine, Rabbit, Rat
Mouse
Rabbit
Polyclonal
PE/Cy5.5
100 μlPEX6 Rabbit pAb, PE-Cy7 conjugated [orb2869079]
IF
Equine, Human, Porcine, Rabbit, Rat
Mouse
Rabbit
Polyclonal
PE/Cy7
100 μlPEX6 Rabbit pAb, PerCP-Cy7 conjugated [orb2869080]
IF
Equine, Human, Porcine, Rabbit, Rat
Mouse
Rabbit
Polyclonal
PerCP/Cy7
100 μl

Quality Guarantee
Explore bioreagents carefree to elevate your research. All our products are rigorously tested for performance. If a product does not perform as described on its datasheet, our scientific support team will provide expert troubleshooting, a prompt replacement, or a refund. For full details, please see our Terms & Conditions and Buying Guide. Contact us at [email protected].

Western Blot analysis of various cells using Peroxin 2 Polyclonal Antibody.

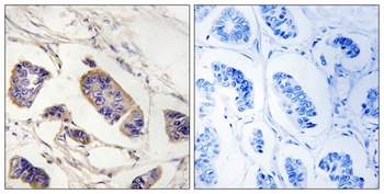
Immunohistochemistry analysis of paraffin-embedded human breast carcinoma tissue, using PXMP3 Antibody. The picture on the right is blocked with the synthesized peptide.

Western blot analysis of lysates from A549 cells, using PXMP3 Antibody. The lane on the right is blocked with the synthesized peptide.
Documents Download
Request a Document
Protocol Information
Peroxin 2 rabbit pAb Antibody (orb766054)
Participating in our Biorbyt product reviews program enables you to support fellow scientists by sharing your firsthand experience with our products.
Login to Submit a Review


