You have no items in your shopping cart.
PLA2R1 Antibody
Description
Research Area
Images & Validation
−| Tested Applications | ELISA, IHC |
|---|---|
| Dilution Range | IHC-P:1:20-1:200 |
| Reactivity | Human |
Key Properties
−| Host | Rabbit |
|---|---|
| Clonality | Polyclonal |
| Isotype | IgG |
| Immunogen | Recombinant Human Secretory phospholipase A2 receptor protein (395-530AA) |
| Target | PLA2R1 |
| Purification | >95%, Protein G purified |
| Conjugation | Unconjugated |
Storage & Handling
−| Storage | Maintain refrigerated at 2-8°C for up to 2 weeks. For long term storage store at -20°C in small aliquots to prevent freeze-thaw cycles. |
|---|---|
| Form/Appearance | Liquid |
| Buffer/Preservatives | Preservative: 0.03% Proclin 300. Constituents: 50% Glycerol |
| Expiration Date | 12 months from date of receipt. |
| Disclaimer | For research use only |
Alternative Names
−Similar Products
−Human Phospholipase A2 Receptor 1 (PLA2R1) ELISA Kit [orb777422]
Human
0.16-10 ng/mL
0.058 ng/mL
96 T, 48 TPLA2R Rabbit Polyclonal Antibody [orb312775]
IF, IHC-Fr, IHC-P, WB
Bovine, Rabbit
Human, Mouse
Rabbit
Polyclonal
Unconjugated
50 μl, 100 μl, 200 μlPLA2R Rabbit Polyclonal Antibody [orb2563150]
IF, IHC-Fr, IHC-P
Mouse
Mouse
Rabbit
Polyclonal
Unconjugated
50 μl, 100 μl, 200 μlPLA2R1 Antibody [orb2656317]
IHC
Human
Mouse
Monoclonal
Unconjugated
100 μg (without BSA and Azide), 100 μg, 20 μg

Quality Guarantee
Explore bioreagents carefree to elevate your research. All our products are rigorously tested for performance. If a product does not perform as described on its datasheet, our scientific support team will provide expert troubleshooting, a prompt replacement, or a refund. For full details, please see our Terms & Conditions and Buying Guide. Contact us at [email protected].

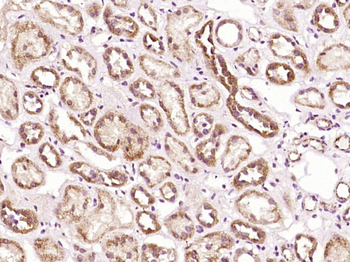
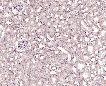
Immunohistochemical staining of human kidney tissue using PLA2R1 antibody
Quick Database Links
UniProt Details
−Documents Download
Request a Document
Protocol Information
PLA2R1 Antibody (orb352377)
Participating in our Biorbyt product reviews program enables you to support fellow scientists by sharing your firsthand experience with our products.
Login to Submit a Review





