You have no items in your shopping cart.
PXN Antibody
Description
Images & Validation
−| Tested Applications | ELISA, IF, IHC, IP, WB |
|---|---|
| Dilution range | WB: 1:500-1:2000; IP: 1:200-1:2000; IHC: 1:20-1:200; IF: 1:20-1:200 |
| Reactivity | Human, Mouse |
Key Properties
−| Antibody Type | Primary Antibody |
|---|---|
| Host | Rabbit |
| Clonality | Polyclonal |
| Isotype | IgG |
| Immunogen | paxillin |
| Target | PXN |
| Purity | ≥95% as determined by SDS-PAGE |
| Purification | Immunogen affinity purified |
| Conjugation | Unconjugated |
Storage & Handling
−| Storage | Maintain refrigerated at 2-8°C for up to 2 weeks. For long term storage store at -20°C in small aliquots to prevent freeze-thaw cycles. |
|---|---|
| Form/Appearance | liquid |
| Disclaimer | For research use only |
Similar Products
−Phospho-Paxillin (Tyr88) Rabbit Polyclonal Antibody [orb6650]
IF, IHC-Fr, IHC-P, WB
Mouse, Rat
Human, Mouse, Rat
Rabbit
Polyclonal
Unconjugated
50 μl, 100 μl, 200 μlPaxillin/PXN Antibody [orb865453]
ELISA, FC, IHC, WB
Human, Mouse, Rat
Rabbit
Polyclonal
Unconjugated
100 μgPaxillin (phospho Tyr31) rabbit pAb Antibody [orb764268]
ELISA, IF, IHC, WB
Human, Mouse, Rat
Polyclonal
Unconjugated
50 μl, 100 μlPaxillin (phospho Tyr88) rabbit pAb Antibody [orb764269]
ELISA, IF, IHC, WB
Human, Mouse, Rat
Polyclonal
Unconjugated
100 μl, 50 μl

Quality Guarantee
Explore bioreagents carefree to elevate your research. All our products are rigorously tested for performance. If a product does not perform as described on its datasheet, our scientific support team will provide expert troubleshooting, a prompt replacement, or a refund. For full details, please see our Terms & Conditions and Buying Guide. Contact us at [email protected].

mouse brain tissue were subjected to SDS PAGE followed by western blot with orb629688 (PXN antibody) at dilution of 1:1000.

IP Result of anti-PXN (IP: orb629688, 3 ug; Detection: orb629688 1:1000) with mouse brain tissue lysate 7500 ug.

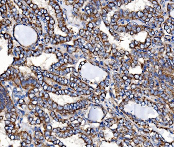
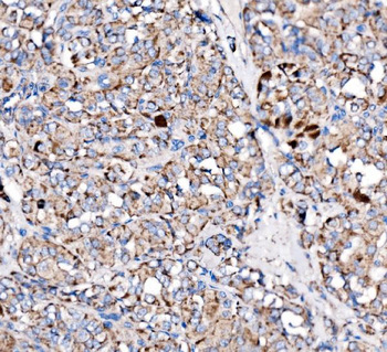
Immunohistochemistry of paraffin-embedded human liver cancer using orb629688 (PXN antibody) at dilution of 1:50.
Quick Database Links
UniProt Details
−Documents Download
Request a Document
Protocol Information
PXN Antibody (orb629688)
Participating in our Biorbyt product reviews program enables you to support fellow scientists by sharing your firsthand experience with our products.
Login to Submit a Review




















