You have no items in your shopping cart.
Rabbit anti-CKII beta Antibody
Description
Images & Validation
−| Tested Applications | IHC, WB |
|---|---|
| Dilution range | WB - 1:2,000 - 1:10,000; IP - Not recommended. Use rabbit anti-CKII beta antibody A301-984A.; IHC - 1:500 - 1:2,000. Epitope retrieval with Tris-EDTA pH 9.0 is recommended for FFPE tissue sections. |
| Reactivity | Human, Mouse |
| Application Notes |
Key Properties
−| Antibody Type | Primary Antibody |
|---|---|
| Host | Rabbit |
| Clonality | Polyclonal |
| Immunogen | Between 100 and 150 |
| Target | CKII beta |
| Conjugation | Unconjugated |
Storage & Handling
−| Storage | 2 - 8°C |
|---|---|
| Form/Appearance | Whole IgG |
| Buffer/Preservatives | Tris-buffered Saline containing 0.1% rAlbumin and 0.09% Sodium Azide |
| Concentration | 200 µg/ml |
| Disclaimer | For research use only |
Alternative Names
−Similar Products
−CRIF1 rabbit pAb Antibody [orb770817]
ELISA, IF, IHC
Human, Mouse, Rat
Polyclonal
Unconjugated
100 μl, 50 μl

Quality Guarantee
Explore bioreagents carefree to elevate your research. All our products are rigorously tested for performance. If a product does not perform as described on its datasheet, our scientific support team will provide expert troubleshooting, a prompt replacement, or a refund. For full details, please see our Terms & Conditions and Buying Guide. Contact us at [email protected].

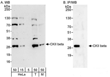
Detection of human and mouse CKII beta by western blot. Samples: Whole cell lysate from HeLa (5, 15 and 50 µg) , HEK293T (T; 50 µg) and mouse NIH 3T3 (M; 50 µg) cells. Antibodies: Affinity purified rabbit anti-CKII beta antibody orb1527437 used for WB at 0.04 µg/ml. Detection: Chemiluminescence with an exposure time of 30 seconds.

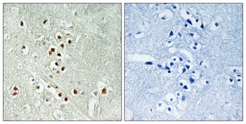
Detection of human and mouse CKII beta by immunohistochemistry.Sample: FFPE section of human colon carcinoma (left) and mouse squamous cell carcinoma (right). Antibody: Affinity purified rabbit anti-CKII beta (Cat. No. orb1527437) used at a dilution of 1: 1, 000 (0.2µg/ml). Detection: DAB
Quick Database Links
UniProt Details
−NCBI Reference Sequences
−| Protein | NP_001311.3 |
|---|
Documents Download
Request a Document
Protocol Information
Rabbit anti-CKII beta Antibody (orb1527437)
Participating in our Biorbyt product reviews program enables you to support fellow scientists by sharing your firsthand experience with our products.
Login to Submit a Review




