You have no items in your shopping cart.
Rabbit anti-RPA32 Antibody
Description
Images & Validation
−| Tested Applications | FC, IHC, IP, WB |
|---|---|
| Dilution range | WB - 1:2,000 - 1:10,000; IP - 2 - 10 µg/mg lysate; IHC - 1:2,000 to 1:10,000. Epitope retrieval with Tris-EDTA pH9.0 is recommended for FFPE tissue sections. |
| Reactivity | Human, Mouse |
| Application Notes |
Key Properties
−| Antibody Type | Primary Antibody |
|---|---|
| Host | Rabbit |
| Clonality | Polyclonal |
| Immunogen | Between 220 and C-terminus |
| Target | RPA32 |
| Conjugation | Unconjugated |
Storage & Handling
−| Storage | 2 - 8°C |
|---|---|
| Form/Appearance | Whole IgG |
| Buffer/Preservatives | Tris-citrate/phosphate buffer, pH 7 to 8 containing 0.09% Sodium Azide |
| Concentration | 1000 µg/ml |
| Disclaimer | For research use only |
Alternative Names
−Similar Products
−RPA p32 (phospho Ser33) rabbit pAb Antibody [orb764314]
IHC, WB
Human, Mouse, Rat
Polyclonal
Unconjugated
100 μl, 50 μlRabbit anti-RPA32 Antibody [orb1530481]
FC, IHC, IP, WB
Human, Mouse
Rabbit
Polyclonal
Unconjugated
100 μgRPA32 (phospho Thr21) rabbit pAb Antibody [orb769936]
ELISA, IF, IHC, WB
Human, Mouse
Polyclonal
Unconjugated
100 μl, 50 μlRPA32 rabbit pAb Antibody [orb769937]
ELISA, IF, IHC, WB
Human, Mouse
Polyclonal
Unconjugated
100 μl, 50 μl

Quality Guarantee
Explore bioreagents carefree to elevate your research. All our products are rigorously tested for performance. If a product does not perform as described on its datasheet, our scientific support team will provide expert troubleshooting, a prompt replacement, or a refund. For full details, please see our Terms & Conditions and Buying Guide. Contact us at [email protected].

Detection of human RPA32 by western blot.Samples: Whole cell lysate from HEK293T, HeLa, Jurkat, and U2OS cells. Antibody: Affinity purified rabbit anti-RPA32 antibody at 0.1 µg/ml.

Detection of mouse RPA32 by western blot.Samples: Whole cell lysate from CT26, CH27, TCMK-1, and BW5147.3 cells. Antibody: Affinity purified rabbit anti-RPA32 antibody at 0.04 µg/ml.

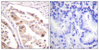
Detection of human RPA32 by immunohistochemistry. Sample: FFPE section of human breast carcinoma. Antibody: Affinity purified rabbit anti-RPA32 used at a dilution of 1:5, 000 (0.2 µg/ml).

Detection of mouse RPA32 by immunohistochemistry. Sample: FFPE section of mouse kidney. Antibody: Affinity purified rabbit anti-RPA32 used at a dilution of 1:5, 000 (0.2 µg/ml).

Detection of human RPA32 by western blot of immunoprecipitates.Samples: Whole cell lysate from HEK293T cells treated with 100 µM etoposide for 4 hours (+) or mock treated (-). Antibodies: Affinity purified rabbit anti-RPA32 antibody.
Quick Database Links
UniProt Details
−NCBI Reference Sequences
−| Protein | NP_002937.1 |
|---|
Documents Download
Request a Document
Protocol Information
Rabbit anti-RPA32 Antibody (orb1530480)
Participating in our Biorbyt product reviews program enables you to support fellow scientists by sharing your firsthand experience with our products.
Login to Submit a Review















