You have no items in your shopping cart.
S100A9 Antibody
Description
Research Area
Images & Validation
−| Tested Applications | IHC-P |
|---|---|
| Dilution range | Immunohistochemistry (FFPE): 1-2ug/ml for 30 min at RT |
| Reactivity | Human |
| Application Notes |
Key Properties
−| Antibody Type | Primary Antibody |
|---|---|
| Host | Mouse |
| Clonality | Monoclonal |
| Isotype | Mouse IgG1, kappa |
| Clone No. | S100A9/1075 |
| Immunogen | Recombinant human protein was used as the immunogen for the S100A9 antibody. |
| Purification | Protein G affinity chromatography |
| Conjugation | Unconjugated |
Storage & Handling
−| Storage | Maintain refrigerated at 2-8°C for up to 2 weeks. For long term storage store at -20°C in small aliquots to prevent freeze-thaw cycles. |
|---|---|
| Disclaimer | For research use only |
Similar Products
−S100-A8/A9 Rabbit Polyclonal Antibody [orb1974705]
IF, IHC-Fr, IHC-P, WB
Rat
Human, Rat
Rabbit
Polyclonal
Unconjugated
50 μl, 100 μl, 200 μlS100A9 Antibody [orb315186]
ELISA, FC, ICC, IF, IHC, WB
Mouse, Rat
Rabbit
Polyclonal
Unconjugated
100 μgS100-A8 / MRP8 Rabbit Polyclonal Antibody [orb6912]
IF, IHC-Fr, IHC-P, IP, WB
Rat
Human, Mouse, Rat
Rabbit
Polyclonal
Unconjugated
50 μl, 100 μl, 200 μl

Quality Guarantee
Explore bioreagents carefree to elevate your research. All our products are rigorously tested for performance. If a product does not perform as described on its datasheet, our scientific support team will provide expert troubleshooting, a prompt replacement, or a refund. For full details, please see our Terms & Conditions and Buying Guide. Contact us at [email protected].

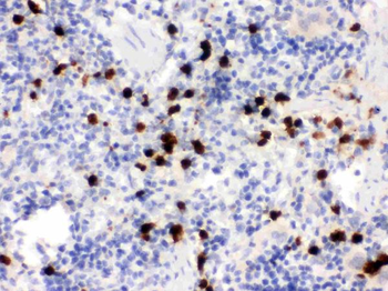
IHC staining of FFPE human breast cancer tissue with S100A9 antibody (clone S100A9/1075). HIER: boil tissue sections in pH9 10mM Tris with 1mM EDTA for 20 min and allow to cool before testing.

IHC staining of FFPE human breast cancer tissue with S100A9 antibody (clone S100A9/1075). HIER: boil tissue sections in pH9 10mM Tris with 1mM EDTA for 20 min and allow to cool before testing.

SDS-PAGE analysis of purified, BSA-free S100A9 antibody (clone S100A9/1075) as confirmation of integrity and purity.
Quick Database Links
UniProt Details
−Documents Download
Request a Document
S100A9 Antibody (orb749780)
Participating in our Biorbyt product reviews program enables you to support fellow scientists by sharing your firsthand experience with our products.
Login to Submit a Review


























