You have no items in your shopping cart.
TCP1 Antibody
Description
Research Area
Images & Validation
−| Tested Applications | ELISA, IF, IHC, WB |
|---|---|
| Dilution range | WB: 1:500 - 1:2000; IHC: 1:50 - 1:200; IF: 1:50 - 1:200 |
| Reactivity | Human, Mouse, Rat |
Key Properties
−| Antibody Type | Primary Antibody |
|---|---|
| Host | Rabbit |
| Clonality | Polyclonal |
| Isotype | IgG |
| Immunogen | t-complex 1 |
| Target | TCP1 |
| Molecular Weight | 60 kDa |
| Purity | ≥95% as determined by SDS-PAGE |
| Purification | Immunogen affinity purified |
| Conjugation | Unconjugated |
Storage & Handling
−| Storage | Maintain refrigerated at 2-8°C for up to 2 weeks. For long term storage store at -20°C in small aliquots to prevent freeze-thaw cycles. |
|---|---|
| Form/Appearance | liquid |
| Disclaimer | For research use only |
Alternative Names
−Similar Products
−TCP1 delta/CCT4 Antibody [orb371661]
FC, ICC, IF, IHC, IHC-Fr, IP, WB
Human, Mouse, Rat
Rabbit
Polyclonal
Unconjugated
100 μgTCP1 beta/CCT2 Antibody [orb371726]
FC, ICC, IF, IHC, WB
Human, Mouse, Rat
Rabbit
Polyclonal
Unconjugated
100 μgTCP1 epsilon/CCT5 Antibody [orb371662]
FC, ICC, IF, IHC, IP, WB
Human, Mouse, Rat
Rabbit
Polyclonal
Unconjugated
100 μgTCP1 alpha Antibody [orb334558]
ICC, IF, IHC, WB
Human, Mouse, Rat
Rabbit
Polyclonal
Unconjugated
100 μgMouse Human T-Complex Protein 1, subunit Antibody [orb109168]
IHC, WB
Frog, Human, Rat
Mouse
Monoclonal
Unconjugated
200 μg

Quality Guarantee
Explore bioreagents carefree to elevate your research. All our products are rigorously tested for performance. If a product does not perform as described on its datasheet, our scientific support team will provide expert troubleshooting, a prompt replacement, or a refund. For full details, please see our Terms & Conditions and Buying Guide. Contact us at [email protected].

MCF7 cells were subjected to SDS PAGE followed by western blot with orb631784 (TCP1 antibody) at dilution of 1:1000.

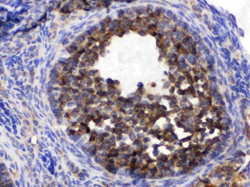
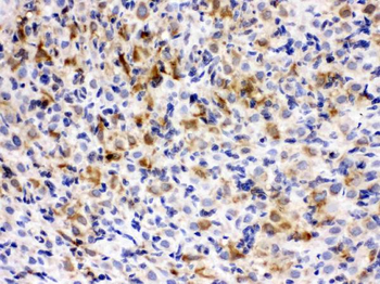
Immunohistochemistry of paraffin-embedded human colon using orb631784 (TCP1 antibody) at dilution of 1:50.
Quick Database Links
UniProt Details
−Documents Download
Request a Document
Protocol Information
TCP1 Antibody (orb631784)
Participating in our Biorbyt product reviews program enables you to support fellow scientists by sharing your firsthand experience with our products.
Login to Submit a Review





































