You have no items in your shopping cart.
TFF3 Antibody
Description
Research Area
Images & Validation
−| Tested Applications | ELISA, IHC, WB |
|---|---|
| Dilution range | ELISA:1:1000-1:2000, WB:1:200-1:1000, IHC-P:1:50-1:200 |
| Reactivity | Human |
Key Properties
−| Host | Rabbit |
|---|---|
| Clonality | Polyclonal |
| Isotype | IgG |
| Immunogen | Fusion protein of Human TFF3 |
| Target | TFF3 |
| Purification | Antigen Affinity Purified |
| Conjugation | Unconjugated |
Storage & Handling
−| Storage | Maintain refrigerated at 2-8°C for up to 2 weeks. For long term storage store at -20°C in small aliquots to prevent freeze-thaw cycles. |
|---|---|
| Form/Appearance | Liquid |
| Buffer/Preservatives | -20°C, pH7.4 PBS, 0.05% NaN3, 40% Glycerol |
| Disclaimer | For research use only |
Alternative Names
−Similar Products
−TFF3 Rabbit Polyclonal Antibody [orb11465]
IF, IHC-Fr, IHC-P
Bovine, Human
Mouse, Rat
Rabbit
Polyclonal
Unconjugated
100 μl, 200 μl, 50 μlPig Trefoil Factor 3, Intestinal (TFF3) ELISA Kit [orb1736654]
Porcine
0.32-20 ng/mL
0.13 ng/mL
48 T, 96 TMouse Trefoil Factor 3, Intestinal (TFF3) ELISA Kit [orb778852]
Mouse
0.16-10 ng/mL
0.065 ng/mL
96 T, 48 TRat Trefoil Factor 3, Intestinal (TFF3) ELISA Kit [orb779507]
Rat
0.16-10 ng/mL
0.058 ng/mL
48 T, 96 T

Quality Guarantee
Explore bioreagents carefree to elevate your research. All our products are rigorously tested for performance. If a product does not perform as described on its datasheet, our scientific support team will provide expert troubleshooting, a prompt replacement, or a refund. For full details, please see our Terms & Conditions and Buying Guide. Contact us at [email protected].

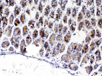
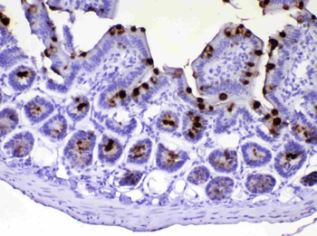
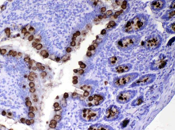
Immunohistochemistry of paraffin-embedded Human colon cancer tissue using TFF3 antibody

Western blot aanalysis of Human fetal intestines tissueusing TFF3 antibody
Quick Database Links
UniProt Details
−Documents Download
Request a Document
Protocol Information
TFF3 Antibody (orb518268)
Participating in our Biorbyt product reviews program enables you to support fellow scientists by sharing your firsthand experience with our products.
Login to Submit a Review












