You have no items in your shopping cart.
VHL rabbit pAb Antibody
Description
Images & Validation
−| Tested Applications | ELISA, IF, IHC |
|---|---|
| Dilution range | IHC-p 1:50-200, ELISA 1:10000-20000 |
| Reactivity | Human, Mouse, Rat |
Key Properties
−| Clonality | Polyclonal |
|---|---|
| Isotype | IgG |
| Immunogen | The antiserum was produced against synthesized peptide derived from the N-terminal region of human VHL. AA range:1-50 |
| Purification | The antibody was affinity-purified from rabbit antiserum by affinity-chromatography using epitope-specific immunogen. |
| Conjugation | Unconjugated |
Storage & Handling
−| Storage | Maintain refrigerated at 2-8°C for up to 2 weeks. For long term storage store at -20°C in small aliquots to prevent freeze-thaw cycles. |
|---|---|
| Buffer/Preservatives | PBS with 0.02% sodium azide and 50% glycerol pH 7.4. |
| Concentration | 1 mg/ml |
| Disclaimer | For research use only |
Alternative Names
−Similar Products
−VHL (phospho Ser68) rabbit pAb Antibody [orb770373]
ELISA, IF, IHC
Human, Mouse, Rat
Polyclonal
Unconjugated
50 μl, 100 μlVHL rabbit pAb Antibody [orb770374]
ELISA, IF, IHC
Human, Mouse, Rat
Polyclonal
Unconjugated
100 μl, 50 μlPFDN3 Rabbit pAb, Pacific Blue conjugated [orb2869067]
IF
Human, Mouse
Rabbit
Polyclonal
Pacific Blue
100 μl

Quality Guarantee
Explore bioreagents carefree to elevate your research. All our products are rigorously tested for performance. If a product does not perform as described on its datasheet, our scientific support team will provide expert troubleshooting, a prompt replacement, or a refund. For full details, please see our Terms & Conditions and Buying Guide. Contact us at [email protected].

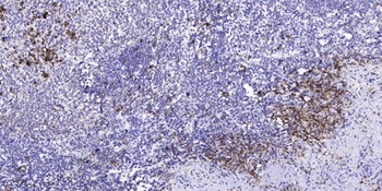
Immunohistochemical analysis of paraffin-embedded human-colon, antibody was diluted at 1:200.

Immunohistochemical analysis of paraffin-embedded human-colon, antibody was diluted at 1:200.
Quick Database Links
Documents Download
Request a Document
Protocol Information
VHL rabbit pAb Antibody (orb771621)
Participating in our Biorbyt product reviews program enables you to support fellow scientists by sharing your firsthand experience with our products.
Login to Submit a Review


