You have no items in your shopping cart.
Villin Antibody / VIL1
Description
Images & Validation
−| Tested Applications | IHC-P, WB |
|---|---|
| Dilution range | Western blot: 1-2ug/ml for 60 min at RT,Immunohistochemistry (FFPE): 0.25-0.5ug/ml for 30 min at RT |
| Reactivity | Human |
| Application Notes |
Key Properties
−| Antibody Type | Primary Antibody |
|---|---|
| Host | Mouse |
| Clonality | Monoclonal |
| Isotype | Mouse IgG1, kappa |
| Clone No. | VIL1/1325 |
| Immunogen | Amino acids 179-311 from the human protein were used as the immunogen for this Villin antibody. |
| Purification | Protein G affinity chromatography |
| Conjugation | Unconjugated |
Storage & Handling
−| Storage | Maintain refrigerated at 2-8°C for up to 2 weeks. For long term storage store at -20°C in small aliquots to prevent freeze-thaw cycles. |
|---|---|
| Buffer/Preservatives | 1X PBS, pH 7.4 |
| Disclaimer | For research use only |
Similar Products
−Recombinant Villin Antibody / VIL1 [orb606956]
IHC-P
Human
Rabbit
Recombinant
Unconjugated
100 μg, 20 μg

Quality Guarantee
Explore bioreagents carefree to elevate your research. All our products are rigorously tested for performance. If a product does not perform as described on its datasheet, our scientific support team will provide expert troubleshooting, a prompt replacement, or a refund. For full details, please see our Terms & Conditions and Buying Guide. Contact us at [email protected].

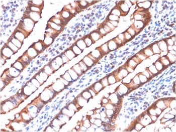
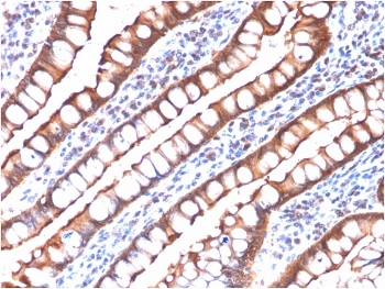
IHC testing of FFPE human colon with Villin antibody (clone VIL1/1325). Required HIER: boil tissue sections in 10mM citrate buffer, pH6, for 10-20 min followed by cooling at RT for 20 min.

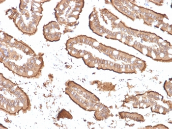
IHC testing of FFPE human rectum tissue with Villin antibody (clone VIL1/1325). Required HIER: boil tissue sections in 10mM citrate buffer, pH6, for 10-20 min followed by cooling at RT for 20 min.

Western blot testing of human 1) A549, 2) HepG2 and 3) HCT-116 cell lysate with Villin antibody (clone VIL1/1325). Expected molecular weight ~93 kDa.

SDS-PAGE Analysis of Purified, BSA-Free Villin Antibody (clone VIL1/1325). Confirmation of Integrity and Purity of the Antibody.
Quick Database Links
UniProt Details
−Documents Download
Request a Document
Protocol Information
Villin Antibody / VIL1 (orb2640175)
Participating in our Biorbyt product reviews program enables you to support fellow scientists by sharing your firsthand experience with our products.
Login to Submit a Review













