You have no items in your shopping cart.
Description
Images & Validation
−| Tested Applications | IHC |
|---|---|
| Dilution range | IHC-P: 1:100-1:300 |
| Reactivity | Human |
Key Properties
−| Antibody Type | Primary Antibody |
|---|---|
| Host | Mouse |
| Clonality | Monoclonal |
| Immunogen | KLH-conjugated synthetic peptide encompassing a sequence within human IGF2. The exact sequence is proprietary. |
| Purification | The antibody was purified by immunogen affinity chromatography. |
| Conjugation | Unconjugated |
Storage & Handling
−| Storage | Maintain refrigerated at 2-8°C for up to 2 weeks. For long term storage store at -20°C in small aliquots to prevent freeze-thaw cycles. |
|---|---|
| Form/Appearance | Mouse IgG2b. Liquid in PBS containing 50% glycerol, 0.2% rAlbumin and 0.01% sodium azide. |
| Disclaimer | For research use only |
Alternative Names
−Similar Products
−Mannose 6 Phosphate Receptor (Cation independent)/IGF2R Antibody [orb413019]
ELISA, FC, ICC, IF, IHC, WB
Human, Mouse, Rat
Rabbit
Polyclonal
Unconjugated
100 μgIGF2 Rabbit Polyclonal Antibody [orb10887]
FC, IF, IHC-Fr, IHC-P
Bovine, Canine, Mouse, Porcine, Rabbit, Sheep
Human, Rat
Rabbit
Polyclonal
Unconjugated
100 μl, 200 μl, 50 μlIMP1/ZBP1 Antibody [orb20564]
ELISA, FC, IF, IHC, WB
Bovine, Canine, Mouse, Rat
Human
Goat
Polyclonal
Unconjugated
100 μgIGF2 Antibody (Center R54) [orb1938352]
FC, IHC-P, WB
Human, Mouse
Rabbit
Polyclonal
Unconjugated
200 μl

Quality Guarantee
Explore bioreagents carefree to elevate your research. All our products are rigorously tested for performance. If a product does not perform as described on its datasheet, our scientific support team will provide expert troubleshooting, a prompt replacement, or a refund. For full details, please see our Terms & Conditions and Buying Guide. Contact us at [email protected].

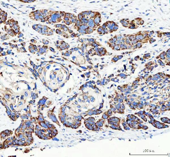
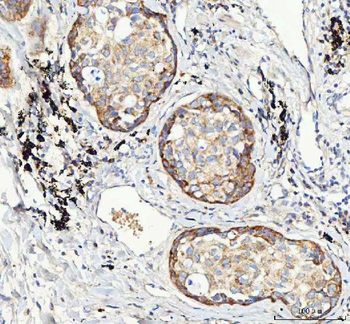
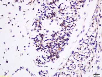
Immunohistochemical analysis of IGF2 staining in human pancreatic carcinoma formalin fixed paraffin embedded tissue section. The section was pre-treated using heat mediated antigen retrieval with sodium citrate buffer (pH 6.0). The section was then incubated with the antibody at room temperature and detected using an HRP conjugated compact polymer system. DAB was used as the chromogen. The section was then counterstained with haematoxylin and mounted with DPX.
Documents Download
Request a Document
IGF2 Antibody (orb705535)
Participating in our Biorbyt product reviews program enables you to support fellow scientists by sharing your firsthand experience with our products.
Login to Submit a Review

























