You have no items in your shopping cart.
CD45RB Antibody
Description
Research Area
Images & Validation
−| Tested Applications | IHC-P, WB |
|---|---|
| Dilution range | Western blot: 0.5-1ug/ml,Immunohistochemistry (FFPE): 0.5-1ug/ml for 30 min at RT |
| Reactivity | Human |
| Application Notes |
Key Properties
−| Antibody Type | Primary Antibody |
|---|---|
| Host | Mouse |
| Clonality | Monoclonal |
| Isotype | Mouse IgG1, kappa |
| Clone No. | PTPRC/1132 |
| Immunogen | Recombinant full-length human CD45RB protein was used as immunogen for this CD45RB antibody. |
| Purification | Protein G affinity chromatography |
| Conjugation | Unconjugated |
Storage & Handling
−| Storage | Maintain refrigerated at 2-8°C for up to 2 weeks. For long term storage store at -20°C in small aliquots to prevent freeze-thaw cycles. |
|---|---|
| Buffer/Preservatives | 1X PBS, pH 7.4 |
| Disclaimer | For research use only |
Similar Products
−Recombinant CD45 Antibody / Rabbit Monoclonal [orb606479]
FACS, IF, IHC-P, WB
Human
Rabbit
Recombinant
Unconjugated
100 μg, 20 μg

Quality Guarantee
Explore bioreagents carefree to elevate your research. All our products are rigorously tested for performance. If a product does not perform as described on its datasheet, our scientific support team will provide expert troubleshooting, a prompt replacement, or a refund. For full details, please see our Terms & Conditions and Buying Guide. Contact us at [email protected].

Western blot testing of CD45RB antibody and Daudi lysate. Expected molecular weight: ~147/180-220 kDa (unmodified/glycosylated).

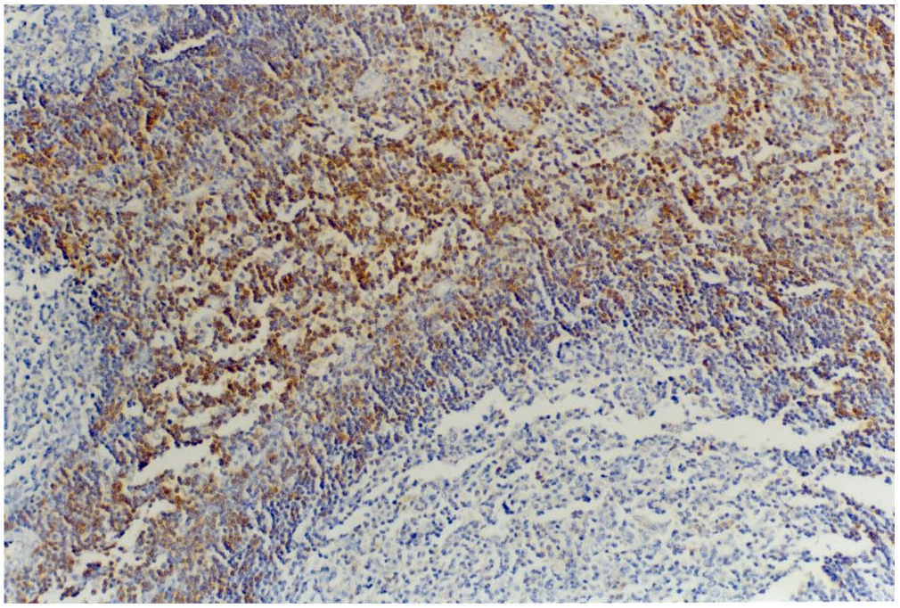
IHC test of FFPE human tonsil probed with CD45RB antibody (PTPRC/1132).

IHC testing of CD45RB antibody and FFPE human lymphoma (PTPRC/1132).

Western blot testing of CD45RB antibody and human spleen lysate. Expected molecular weight: ~147/180-220 kDa (unmodified/glycosylated).
Quick Database Links
UniProt Details
−Documents Download
Request a Document
Protocol Information
CD45RB Antibody (orb385695)
Participating in our Biorbyt product reviews program enables you to support fellow scientists by sharing your firsthand experience with our products.
Login to Submit a Review























