You have no items in your shopping cart.
Description
Research Area
Images & Validation
−| Tested Applications | FACS, IHC-P, WB |
|---|---|
| Dilution Range | Flow cytometry: 0.5-2ug/10^6 cells,Western blot: 1-2ug/ml,Immunohistochemistry (FFPE): 0.5-1ug/ml for 30 min at RT |
| Reactivity | Human |
| Application Notes |
Key Properties
−| Antibody Type | Primary Antibody |
|---|---|
| Host | Mouse |
| Clonality | Monoclonal |
| Isotype | Mouse IgG1, kappa |
| Clone No. | 2B11 + PD7/26 |
| Immunogen | Isolated neoplastic cells from T cell lymphoma were used as the immunogen for clone 2B11 and human peripheral blood lymphocytes maintained in Tcell growth factor were used as the immunogen for clone PD7/26. |
| Purification | Protein G affinity chromatography |
| Conjugation | Unconjugated |
Storage & Handling
−| Storage | Maintain refrigerated at 2-8°C for up to 2 weeks. For long term storage store at -20°C in small aliquots to prevent freeze-thaw cycles. |
|---|---|
| Buffer/Preservatives | 0.2 mg/ml in 1X PBS with 0.1 mg/ml rAlbumin and 0.05% sodium azide |
| Expiration Date | 12 months from date of receipt. |
| Disclaimer | For research use only |
Similar Products
−
Quality Guarantee
Explore bioreagents carefree to elevate your research. All our products are rigorously tested for performance. If a product does not perform as described on its datasheet, our scientific support team will provide expert troubleshooting, a prompt replacement, or a refund. For full details, please see our Terms & Conditions and Buying Guide. Contact us at [email protected].

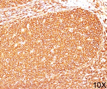
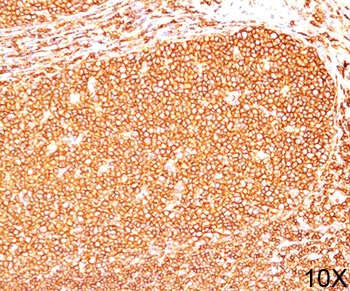
IHC testing of human tonsil (10X) stained with CD45 antibody cocktail (2B11 + PD7/26).

IHC testing of human tonsil (20X) stained with CD45RB antibody cocktail (2B11 + PD7/26).

Flow cytometry testing of live human Jurkat cells with CD45 antibody cocktail (clone 2B11 + PD7/26); Gray = isotype control, Purple = CD45 antibody cocktail.

Flow cytometry testing of PFA-fixed human Jurkat cells with CD45 antibody cocktail (clone 2B11 + PD7/26); Red = isotype control, Blue = CD45 antibody cocktail antibody.

Western blot testing of human spleen tissue lysate with CD45 antibody cocktail.

Flow cytometry testing of lymphocyte-gated human PBM cells with CD45 antibody cocktail (clone 2B11, green), and unstained cells (gray).
Documents Download
Request a Document
Protocol Information
CD45 Antibody Cocktail (orb248525)
Participating in our Biorbyt product reviews program enables you to support fellow scientists by sharing your firsthand experience with our products.
Login to Submit a Review

















