You have no items in your shopping cart.
KRT20 Antibody
Description
Research Area
Images & Validation
−| Tested Applications | IHC |
|---|---|
| Reactivity | Human |
Key Properties
−| Host | Mouse |
|---|---|
| Clonality | Monoclonal |
| Isotype | IgG1 |
| Clone No. | Ks20.8 |
| Immunogen | Recombinant fragment of human KRT20 protein (around aa 196-323) (exact sequence is proprietary) |
| Target | KRT20 |
| Source/Expression System | Bioreactor |
| Molecular Weight | 46kDa |
| Purification | Protein G |
| Conjugation | Unconjugated |
Storage & Handling
−| Storage | Maintain refrigerated at 2-8°C for up to 2 weeks. For long term storage store at -20°C in small aliquots to prevent freeze-thaw cycles. |
|---|---|
| Form/Appearance | 200ug/ml of Ab purified from Bioreactor Concentrate by Protein A/G. Prepared in 10mM PBS with 0.05% rAlbumin & 0.05% azide. Also available WITHOUT rAlbumin & azide at 1.0mg/ml. |
| Disclaimer | For research use only |
Alternative Names
−Similar Products
−Cytokeratin 20/Krt20 Antibody [orb614125]
ELISA, FC, ICC, IF, IHC, WB
Human, Mouse, Rat
Rabbit
Polyclonal
Unconjugated
100 μgCK20 Recombinant Rabbit Monoclonal Antibody [orb559077]
FC, ICC, IF, IHC-Fr, IHC-P, WB
Mouse
Human, Rat
Rabbit
Recombinant
Unconjugated
100 μl, 50 μl, 25 μlCytokeratin 20 Mouse Monoclonal Antibody [orb1816739]
IF, IHC-Fr, IHC-P
Mouse, Rat
Human, Mouse, Rat
Mouse
Monoclonal
Unconjugated
50 μl, 100 μlKRT20 Antibody [orb1410421]
IHC, WB
Human
Rabbit
Monoclonal
Unconjugated
20 μg, 100 μg, 100 μg (without BSA and Azide)

Quality Guarantee
Explore bioreagents carefree to elevate your research. All our products are rigorously tested for performance. If a product does not perform as described on its datasheet, our scientific support team will provide expert troubleshooting, a prompt replacement, or a refund. For full details, please see our Terms & Conditions and Buying Guide. Contact us at [email protected].

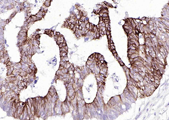
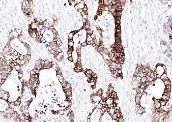
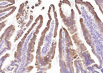
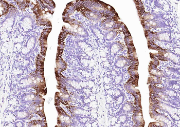
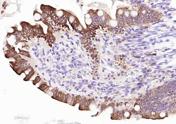
IHC analysis of formalin-fixed, paraffin-embedded human colon. CK20 Mouse Monoclonal Antibody (Ks20.8). HIER: Tris/EDTA, pH9.0, 45 min. 2°C: HRP-polymer, 30 min. DAB, 5 min.

SDS-PAGE Analysis of Purified CK20 Mouse Monoclonal Antibody (Ks20.8). Confirmation of Purity and Integrity of Antibody.
Quick Database Links
UniProt Details
−Documents Download
Request a Document
KRT20 Antibody (orb2309558)
Participating in our Biorbyt product reviews program enables you to support fellow scientists by sharing your firsthand experience with our products.
Login to Submit a Review



































