You have no items in your shopping cart.
KRT20 Antibody
Description
Research Area
Images & Validation
−| Tested Applications | IHC, WB |
|---|---|
| Reactivity | Human |
Key Properties
−| Antibody Type | Recombinant Antibody |
|---|---|
| Host | Rabbit |
| Clonality | Monoclonal |
| Isotype | IgG |
| Clone No. | KRT20/4879R |
| Immunogen | Recombinant fragment of human KRT20 protein (around aa 196-323) (exact sequence is proprietary) |
| Target | KRT20 |
| Source/Expression System | HEK293 cells |
| Molecular Weight | 46kDa |
| Conjugation | Unconjugated |
Storage & Handling
−| Storage | Maintain refrigerated at 2-8°C for up to 2 weeks. For long term storage store at -20°C in small aliquots to prevent freeze-thaw cycles. |
|---|---|
| Form/Appearance | 200ug/ml of Ab purified from Bioreactor Concentrate by Protein A/G. Prepared in 10mM PBS with 0.05% rAlbumin & 0.05% azide. Also available WITHOUT rAlbumin & azide at 1.0mg/ml. |
| Expiration Date | 12 months from date of receipt. |
| Disclaimer | For research use only |
Alternative Names
−Similar Products
−Cytokeratin 20/Krt20 Rabbit Polyclonal Antibody [orb614125]
ELISA, FC, ICC, IF, IHC, WB
Human, Mouse, Rat
Rabbit
Polyclonal
Unconjugated
100 μgCK20 Recombinant Rabbit Monoclonal Antibody [orb559077]
FC, ICC, IF, IHC-Fr, IHC-P, WB
Mouse
Human, Rat
Rabbit
Recombinant
Unconjugated
100 μl, 50 μl, 25 μlCytokeratin 20 Mouse Monoclonal Antibody [orb1816739]
IF, IHC-Fr, IHC-P
Mouse, Rat
Human, Mouse, Rat
Mouse
Monoclonal
Unconjugated
50 μl, 100 μlCytokeratin 20 rabbit pAb Antibody [orb765007]
ELISA, IF, IHC, WB
Human, Mouse, Rat
Polyclonal
Unconjugated
100 μl, 50 μl

Quality Guarantee
Explore bioreagents carefree to elevate your research. All our products are rigorously tested for performance. If a product does not perform as described on its datasheet, our scientific support team will provide expert troubleshooting, a prompt replacement, or a refund. For full details, please see our Terms & Conditions and Buying Guide. Contact us at [email protected].

IHC analysis of formalin-fixed, paraffin-embedded human brain. stained with OLIG2/6695R at 2 ug/ml in PBS for 30 min RT. Inset: PBS instead of primary; secondary antibody negative control.

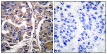
IHC analysis of formalin-fixed, paraffin-embedded human colon. stained with KRT20/4879R at 2 ug/ml in PBS for 30 min RT. HIER: Tris/EDTA, pH9.0, 45 min. 2°C: HRP-polymer, 30 min. DAB, 5 min.

SDS-PAGE Analysis of Purified CK20 Recombinant Rabbit Monoclonal Antibody (KRT20/4879R). Confirmation of Purity and Integrity of Antibody.

Western Blot Analysis of HT-29 cell lysate using Cytokeratin 20 Recombinant Rabbit Monoclonal Antibody (KRT20/4879R).
Quick Database Links
UniProt Details
−Documents Download
Request a Document
Protocol Information
KRT20 Antibody (orb1410421)
Participating in our Biorbyt product reviews program enables you to support fellow scientists by sharing your firsthand experience with our products.
Login to Submit a Review


































