You have no items in your shopping cart.
Rabbit PA1 Antibody
Description
Images & Validation
−| Tested Applications | IHC, IP |
|---|---|
| Dilution range | WB - Not recommended. Use rabbit anti-PA1 antibody A301-978A.; IP - 2 - 5 µg/mg lysate; IHC - 1:500 - 1:2,000. Epitope retrieval with citrate buffer pH 6.0 is recommended for FFPE tissue sections. |
| Reactivity | Human |
| Application Notes |
Key Properties
−| Antibody Type | Primary Antibody |
|---|---|
| Host | Rabbit |
| Clonality | Polyclonal |
| Isotype | IgG |
| Immunogen | Between 204 and C-terminus |
| Target | PA1 |
| Purification | Antigen Affinity Purified |
| Conjugation | Unconjugated |
Storage & Handling
−| Storage | 2 - 8°C |
|---|---|
| Form/Appearance | Liquid |
| Buffer/Preservatives | Tris-citrate/phosphate buffer, pH 7 to 8 containing 0.09% Sodium Azide |
| Concentration | 1000 µg/ml |
| Disclaimer | For research use only |
Alternative Names
−Similar Products
−C16orf53 Rabbit Polyclonal Antibody [orb586773]
WB
Bovine, Equine, Goat, Porcine, Rabbit
Human
Rabbit
Polyclonal
Unconjugated
100 μlC16orf53 Rabbit Polyclonal Antibody [orb513085]
ELISA, IHC, WB
Mouse, Rat
Human
Rabbit
Polyclonal
Unconjugated
100 μg

Quality Guarantee
Explore bioreagents carefree to elevate your research. All our products are rigorously tested for performance. If a product does not perform as described on its datasheet, our scientific support team will provide expert troubleshooting, a prompt replacement, or a refund. For full details, please see our Terms & Conditions and Buying Guide. Contact us at [email protected].

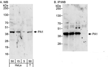
Detection of human PA1 by western blot of immunoprecipitates. Samples: Whole cell lysate (1 mg for IP, 20% of IP loaded) from HeLa cells. Antibodies: Affinity purified rabbit anti-PA1 antibody orb1527446 used for IP at 3 µg/mg lysate.

Detection of human PA1 by immunohistochemistry.Sample: FFPE section of human colon carcinoma. Antibody: Affinity purified rabbit anti-PA1 (Cat. No. orb1527446) used at a dilution of 1: 1, 000 (1µg/ml). Detection: DAB
Quick Database Links
UniProt Details
−NCBI Reference Sequences
−| Protein | NP_078792.1 |
|---|
Documents Download
Request a Document
Protocol Information
Rabbit PA1 Antibody (orb1527446)
Participating in our Biorbyt product reviews program enables you to support fellow scientists by sharing your firsthand experience with our products.
Login to Submit a Review

