You have no items in your shopping cart.
Raf-B rabbit pAb
Description
Images & Validation
−| Tested Applications | ELISA, IHC-P, WB |
|---|---|
| Dilution range | Western Blot: 1/500 - 1/2000. Immunohistochemistry: 1/100 - 1/300. ELISA: 1/10000. Not yet tested in other applications. |
| Reactivity | Human, Mouse, Rat |
Key Properties
−| Clonality | Polyclonal |
|---|---|
| Isotype | IgG |
| Immunogen | The antiserum was produced against synthesized peptide derived from human B-RAF. AA range:576-625 |
| Molecular Weight | 86 |
| Purification | The antibody was affinity-purified from rabbit antiserum by affinity-chromatography using epitope-specific immunogen. |
| Conjugation | Unconjugated |
Storage & Handling
−| Storage | Maintain refrigerated at 2-8°C for up to 2 weeks. For long term storage store at -20°C in small aliquots to prevent freeze-thaw cycles. |
|---|---|
| Buffer/Preservatives | PBS with 0.02% sodium azide and 50% glycerol pH 7.4. |
| Concentration | 1 mg/ml |
| Disclaimer | For research use only |
Alternative Names
−Similar Products
−Raf-B (phospho Ser446) rabbit pAb [orb770155]
ELISA, IHC-P, WB
Human, Mouse
Polyclonal
Unconjugated
50 μl, 100 μlRaf-B (phospho Thr753) rabbit pAb [orb770153]
ELISA, WB
Human, Mouse, Rat
Polyclonal
Unconjugated
50 μl, 100 μlRaf-B (phospho Ser602) rabbit pAb [orb770154]
ELISA, IHC-P, WB
Human, Mouse, Rat
Polyclonal
Unconjugated
50 μl, 100 μlRaf-B (phospho Thr599) rabbit pAb [orb770156]
ELISA, IHC-P
Human, Mouse, Rat
Polyclonal
Unconjugated
50 μl, 100 μlphospho-B-Raf (Ser602) Rabbit pAb, PerCP-Cy7 conjugated [orb2852859]
IF
Bovine, Canine, Equine, Gallus, Human, Porcine, Rabbit
Mouse, Rat
Rabbit
Polyclonal
PerCP/Cy7
100 μl

Quality Guarantee
Explore bioreagents carefree to elevate your research. All our products are rigorously tested for performance. If a product does not perform as described on its datasheet, our scientific support team will provide expert troubleshooting, a prompt replacement, or a refund. For full details, please see our Terms & Conditions and Buying Guide. Contact us at [email protected].

Western blot analysis in MCF-7 cells transfected with siB-Raf. Cancer Letters 355 (2014) 288–296.

Western Blot analysis of various cells using Raf-B Polyclonal Antibody diluted at 1:500.

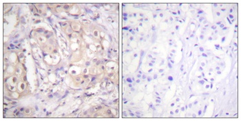
Immunohistochemistry analysis of paraffin-embedded human lymph node tissue, using B-RAF Antibody. The picture on the right is blocked with the synthesized peptide.

Western blot analysis of lysates from K562 cells, using B-RAF Antibody. The lane on the right is blocked with the synthesized peptide.
Quick Database Links
Protocol Information
Raf-B rabbit pAb (orb766191)
Participating in our Biorbyt product reviews program enables you to support fellow scientists by sharing your firsthand experience with our products.
Login to Submit a Review











