You have no items in your shopping cart.
ACTA2 Antibody Cocktail / Alpha Actin
Description
Research Area
Images & Validation
−| Tested Applications | IF, IHC-P |
|---|---|
| Dilution Range | Immunofluorescence: 1-2ug/ml,Immunohistochemistry (FFPE): 0.25-0.5ug/ml for 30 min at RT |
| Reactivity | Human, Rat |
| Application Notes |
Key Properties
−| Antibody Type | Primary Antibody |
|---|---|
| Host | Mouse |
| Clonality | Monoclonal |
| Isotype | Mouse IgG2a, kappa |
| Clone No. | 1A4 + ACTA2/791 |
| Immunogen | An N-terminal decapeptide of the alpha smooth muscle isoform of Actin (1A4) and recombinant full-length human protein (ACTA2/791) were used as the immunogen for the ACTA2 antibody cocktail. |
| Purification | Protein G affinity chromatography |
| Conjugation | Unconjugated |
Storage & Handling
−| Storage | Maintain refrigerated at 2-8°C for up to 2 weeks. For long term storage store at -20°C in small aliquots to prevent freeze-thaw cycles. |
|---|---|
| Buffer/Preservatives | 0.2 mg/ml in 1X PBS with 0.1 mg/ml rAlbumin and 0.05% sodium azide |
| Expiration Date | 12 months from date of receipt. |
| Disclaimer | For research use only |
Similar Products
−ACTA2 Antibody Cocktail / Alpha Actin [orb2639153]
IF, IHC-P
Human, Rat
Mouse
Monoclonal
Unconjugated
100 μg

Quality Guarantee
Explore bioreagents carefree to elevate your research. All our products are rigorously tested for performance. If a product does not perform as described on its datasheet, our scientific support team will provide expert troubleshooting, a prompt replacement, or a refund. For full details, please see our Terms & Conditions and Buying Guide. Contact us at [email protected].

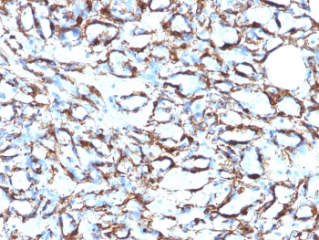
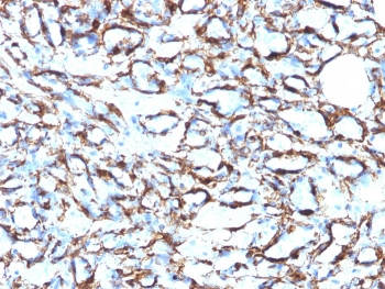
IHC: Formalin-fixed, paraffin-embedded human leiomyosarcoma stained with ACTA2 antibody cocktail (clone 1A4 + ACTA2/791).

IHC: Formalin-fixed, paraffin-embedded human angiosarcoma stained with ACTA2 antibody cocktail (clone 1A4 + ACTA2/791).

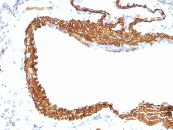
IHC: Formalin-fixed, paraffin-embedded rat lung stained with ACTA2 antibody cocktail (clone 1A4 + ACTA2/791).

IHC: Formalin-fixed, paraffin-embedded rat stomach stained with ACTA2 antibody cocktail (clone 1A4 + ACTA2/791).

Immunofluorescent staining of fixed human HeLa cells with ACTA2 antibody cocktail antibody (clone 1A4 + ACTA2/791, green) and NucSpot nuclear stain (red).

SDS-PAGE analysis of purified, BSA-free ACTA2 antibody cocktail antibody (clone 1A4 + ACTA2/791) as confirmation of integrity and purity.
Quick Database Links
UniProt Details
−Documents Download
Request a Document
Protocol Information
ACTA2 Antibody Cocktail / Alpha Actin (orb749772)
Participating in our Biorbyt product reviews program enables you to support fellow scientists by sharing your firsthand experience with our products.
Login to Submit a Review









