You have no items in your shopping cart.
Histone H1 (Nuclear Marker) Antibody
Description
Research Area
Images & Validation
−| Tested Applications | FC, IF, IHC-P |
|---|---|
| Reactivity | Human, Mouse, Rat |
Key Properties
−| Antibody Type | Primary Antibody |
|---|---|
| Host | Rabbit |
| Clonality | Monoclonal |
| Clone No. | HH1/1784R |
| Conjugation | Unconjugated |
Storage & Handling
−| Storage | Maintain refrigerated at 2-8°C for up to 2 weeks. For long term storage store at -20°C in small aliquots to prevent freeze-thaw cycles |
|---|---|
| Expiration Date | 12 months from date of receipt. |
| Disclaimer | For research use only |
Alternative Names
−Similar Products
−Recombinant Histone H1 Antibody [orb639702]
FACS, IF, IHC-P, WB
Human, Mouse, Rat
Rabbit
Recombinant
Unconjugated
100 μg, 20 μgRecombinant Histone H1 Antibody [orb2643346]
FACS, IF, IHC-P, WB
Human, Mouse, Rat
Rabbit
Recombinant
Unconjugated
100 μgHistone H1 (Nuclear Marker) Antibody - With BSA and Azide [orb1789957]
FC, IF, IHC
Human, Mouse, Rat
Mouse
Monoclonal
Unconjugated
20 μgHistone H1 (Nuclear Marker) Antibody - With BSA and Azide [orb1462488]
FC, IF, IHC
Human, Mouse, Rat
Mouse
Monoclonal
Unconjugated
100 μgH1-0, N/A Antibody [orb607410]
FC, IF, IHC, WB
Human, Mouse, Rat
Mouse
Monoclonal
Unconjugated
20 μg, 100 μg, 100 μg (without BSA and Azide)

Quality Guarantee
Explore bioreagents carefree to elevate your research. All our products are rigorously tested for performance. If a product does not perform as described on its datasheet, our scientific support team will provide expert troubleshooting, a prompt replacement, or a refund. For full details, please see our Terms & Conditions and Buying Guide. Contact us at [email protected].

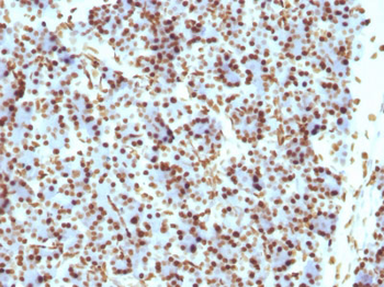
Formalin-fixed, paraffin-embedded human Pancreas stained with Histone H1 Recombinant Rabbit Monoclonal Antibody (HH1/1784R).
Documents Download
Request a Document
Protocol Information
Histone H1 (Nuclear Marker) Antibody (orb1789342)
Participating in our Biorbyt product reviews program enables you to support fellow scientists by sharing your firsthand experience with our products.
Login to Submit a Review



















