You have no items in your shopping cart.
Description
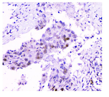
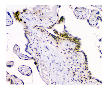
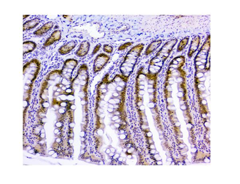
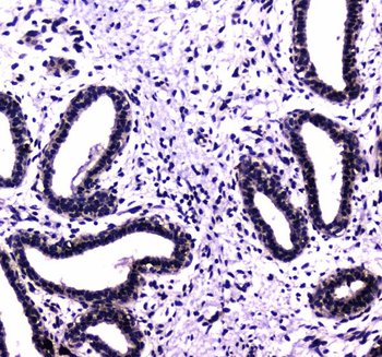
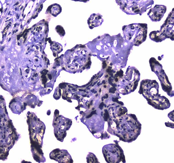
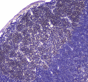
Images & Validation
−| Tested Applications | WB |
|---|---|
| Dilution range | WB: 1:500-1:2000, IHC-P: 1:50-1:200, IF/ICC: 1:50-1:100 |
| Reactivity | Human, Mouse, Rat |
Key Properties
−| Antibody Type | Primary Antibody |
|---|---|
| Host | Rabbit |
| Clonality | Polyclonal |
| Immunogen | Recombinant fusion protein of human USP7 |
| Purification | The antibody was purified by immunogen affinity chromatography. |
Storage & Handling
−| Storage | Maintain refrigerated at 2-8°C for up to 2 weeks. For long term storage store at -20°C in small aliquots to prevent freeze-thaw cycles. |
|---|---|
| Form/Appearance | Liquid in 0.42% Potassium phosphate, 0.87% Sodium chloride, pH 7.3, 30% glycerol, and 0.01% sodium azide. |
| Disclaimer | For research use only |
Alternative Names
−Similar Products
−HAUSP/USP7 Antibody (monoclonal, 5E2) [orb527066]
FC, ICC, IF, IHC, WB
Human, Mouse, Rat
Mouse
Monoclonal
Unconjugated
100 μgHAUSP/USP7 Antibody [orb413038]
ELISA, FC, ICC, IF, IHC, WB
Human, Mouse, Rat
Rabbit
Polyclonal
Unconjugated
100 μgUSP7 Recombinant Monoclonal Antibody [orb689146]
ELISA, IF, IHC, WB
Human
Monoclonal
Unconjugated
100 μl, 50 μl

Quality Guarantee
Explore bioreagents carefree to elevate your research. All our products are rigorously tested for performance. If a product does not perform as described on its datasheet, our scientific support team will provide expert troubleshooting, a prompt replacement, or a refund. For full details, please see our Terms & Conditions and Buying Guide. Contact us at [email protected].

Western blot analysis of USP7 expression in MCF7 (A), Jurkat (B), mouse spleen (C), mouse testis (D) whole cell lysates. (Predicted band size: 126; 128 kD; Observed band size: 132 kD)
Documents Download
Request a Document
USP7 Antibody (orb340837)
Participating in our Biorbyt product reviews program enables you to support fellow scientists by sharing your firsthand experience with our products.
Login to Submit a Review



























