You have no items in your shopping cart.
APOE Rabbit Polyclonal Antibody
Description
Research Area
Images & Validation
−| Tested Applications | IHC, WB |
|---|---|
| Reactivity | Human, Mouse, Rat |
| Predicted Reactivity | Human |
Key Properties
−| Host | Rabbit |
|---|---|
| Clonality | Polyclonal |
| Immunogen | The immunogen is a synthetic peptide directed towards the N terminal region of human APOE |
| Target | APOE |
| Protein Sequence | Synthetic peptide located within the following region: KVLWAALLVTFLAGCQAKVEQAVETEPEPELRQQTEWQSGQRWELALGRF |
| Molecular Weight | 36 kDa |
| Purification | Affinity Purified |
| Conjugation | Unconjugated |
Storage & Handling
−| Storage | Maintain refrigerated at 2-8°C for up to 2 weeks. For long term storage store at -20°C in small aliquots to prevent freeze-thaw cycles. |
|---|---|
| Buffer/Preservatives | Liquid. Purified antibody supplied in 1x PBS buffer with 0.09% (w/v) sodium azide and 2% sucrose. |
| Concentration | 0.5 mg/ml |
| Expiration Date | 12 months from date of receipt. |
| Disclaimer | For research use only |
Alternative Names
−Similar Products
−Apolipoprotein E Rabbit Polyclonal Antibody [orb1144]
IF, IHC-Fr, IHC-P, WB
Mouse, Rat
Human, Mouse, Rat
Rabbit
Polyclonal
Unconjugated
50 μl, 100 μl, 200 μlApolipoprotein E/APOE Rabbit Polyclonal Antibody [orb371720]
ICC, IF, IHC, WB
Mouse, Rat
Rabbit
Polyclonal
Unconjugated
100 μgApolipoprotein E/APOE Rabbit Polyclonal Antibody [orb251510]
ELISA, FC, IF, IHC, WB
Human
Rabbit
Polyclonal
Unconjugated
100 μgApoE rabbit pAb Antibody [orb768721]
ELISA, IF, IHC, WB
Human, Mouse, Rat
Polyclonal
Unconjugated
100 μl, 50 μlAPOE Rabbit Polyclonal Antibody [orb333723]
IHC, WB
Rat, Zebrafish
Human, Mouse
Rabbit
Polyclonal
Unconjugated
100 μl

Quality Guarantee
Explore bioreagents carefree to elevate your research. All our products are rigorously tested for performance. If a product does not perform as described on its datasheet, our scientific support team will provide expert troubleshooting, a prompt replacement, or a refund. For full details, please see our Terms & Conditions and Buying Guide. Contact us at [email protected].

Sample Type: Human Fetal Lung, Antibody dilution: 1.0 ug/ml.

25 ug of the indicated Human whole cell and tissue extracts was loaded onto a 12% SDS-PAGE gel. 3 ug/ml of the antibody was used in this experiment.

Anti-APOE / Apolipoprotein E antibody IHC staining of human adrenal. Immunohistochemistry of formalin-fixed, paraffin-embedded tissue after heat-induced antigen retrieval. Antibody concentration 5 ug/ml.

Anti-APOE / Apolipoprotein E antibody IHC staining of human kidney. Immunohistochemistry of formalin-fixed, paraffin-embedded tissue after heat-induced antigen retrieval. Antibody concentration 5 ug/ml.

APOE antibody - N-terminal region (orb333722) validated by WB using Fetal liver cell lysate at 1 ug/ml.

APOE antibody - N-terminal region (orb333722), Catalog Number: orb333722, Formalin Fixed Paraffin Embedded Tissue: Human Liver Tissue, Observed Staining: Cytoplasm and membrane of hepatocytes, Primary Antibody Concentration: 1:100, Other Working Concentrations: 1/600, Secondary Antibody: Donkey anti-Rabbit-Cy3, Secondary Antibody Concentration: 1:200, Magnification: 20X, Exposure Time: 0.5-2.0 sec.

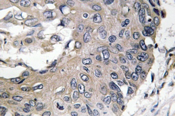
Sample Tissue: Human Liver Tumor, Antibody dilution: 1 ug/ml.

Sample Tissue: Human Liver Tumor, Antibody dilution: 3 ug/ml.

Sample Tissue: Human PANC1 Whole Cell, Antibody dilution: 1 ug/ml.

Surface Plasmon Resonance Kinetic Characterization of Polyclonal Antibody Affinity. Purified polyclonal antibodies were immobilized on a Protein A/G coated Carterra LSA sensor chip (PAGH200M) at concentrations of 5, and 50 ug/ml in duplicate. Antibodies on the surface were exposed to interaction with peptides sequentially via microfluidic controlled flow at 333nM peptide concentration for kinetic characterization of the binders for affinity and specificity, followed by curve fitting using the Kinetics software. Kd determinations for both concentrations were averaged and results and standard deviation are shown.
Documents Download
Request a Document
Protocol Information
APOE Rabbit Polyclonal Antibody (orb333722)
Participating in our Biorbyt product reviews program enables you to support fellow scientists by sharing your firsthand experience with our products.
Login to Submit a Review




















