You have no items in your shopping cart.
CD55 Antibody
Description
Research Area
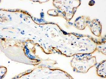
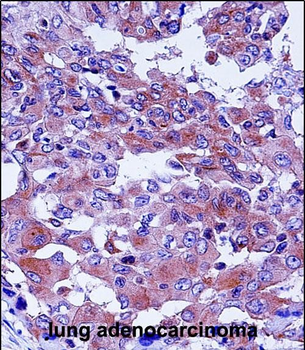
Images & Validation
−| Tested Applications | WB |
|---|---|
| Reactivity | Human |
Key Properties
−| Host | Mouse |
|---|---|
| Clonality | Monoclonal |
| Isotype | IgG1 |
| Clone No. | CD55/6795 |
| Immunogen | Recombinant fragment (around aa1-100) of human CD55 (exact sequence is proprietary) |
| Target | CD55 |
| Source/Expression System | Bioreactor |
| Molecular Weight | 70kDa |
| Purification | Protein G |
| Conjugation | Unconjugated |
Storage & Handling
−| Storage | Maintain refrigerated at 2-8°C for up to 2 weeks. For long term storage store at -20°C in small aliquots to prevent freeze-thaw cycles. |
|---|---|
| Form/Appearance | 200ug/ml of Ab purified from Bioreactor Concentrate by Protein A/G. Prepared in 10mM PBS with 0.05% rAlbumin & 0.05% azide. Also available WITHOUT rAlbumin & azide at 1.0mg/ml. |
| Expiration Date | 12 months from date of receipt. |
| Disclaimer | For research use only |
Alternative Names
−Similar Products
−CD55 Rabbit Polyclonal Antibody [orb308782]
FC, ICC, IF, IHC, WB
Human
Rabbit
Polyclonal
Unconjugated
100 μgCD55 Antibody (N-term) [orb1935481]
FC, IF, IHC-P, WB
Human
Rabbit
Polyclonal
Unconjugated
100 μl, 50 μlHuman Decay Accelerating Factor (DAF) ELISA Kit [orb776253]
Human
31.25-2000 pg/mL
13.7 pg/mL
96 T, 48 T

Quality Guarantee
Explore bioreagents carefree to elevate your research. All our products are rigorously tested for performance. If a product does not perform as described on its datasheet, our scientific support team will provide expert troubleshooting, a prompt replacement, or a refund. For full details, please see our Terms & Conditions and Buying Guide. Contact us at [email protected].

SDS-PAGE Analysis of Purified CD55 Mouse Monoclonal Antibody (CD55/6795). Confirmation of Integrity and Purity of Antibody.
Quick Database Links
UniProt Details
−Documents Download
Request a Document
CD55 Antibody (orb1410602)
Participating in our Biorbyt product reviews program enables you to support fellow scientists by sharing your firsthand experience with our products.
Login to Submit a Review


















![Anti-CD55 [LU30]](/images/pub/media/catalog/product/NewWebsite/35/orb411574_1.png)
![Anti-CD55 [LU30]](/images/pub/media/catalog/product/NewWebsite/35/orb411574_2.png)