You have no items in your shopping cart.
CEA Rabbit Polyclonal Antibody
Description
Research Area
Images & Validation
−| Tested Applications | FC, IF, IHC-Fr, IHC-P |
|---|---|
| Dilution Range | IHC-P=1:100-500, IHC-F=1:100-500, IF=1:100-500, Flow-Cyt=1μg/test |
| Reactivity | Human |
Related Conjugates & Formulations
−Key Properties
−| Antibody Type | Primary Antibody |
|---|---|
| Host | Rabbit |
| Clonality | Polyclonal |
| Isotype | IgG |
| Immunogen | KLH conjugated synthetic peptide derived from human CEA/CD66e/CEACAM5 (301-400/702aa) |
| Target | CEACAM5 |
| Molecular Weight | 150-200 kDa |
| Purification | Affinity purified by Protein A |
| Conjugation | Unconjugated |
Storage & Handling
−| Storage | Maintain refrigerated at 2-8°C for up to 2 weeks. For long term storage store at -20°C in small aliquots to prevent freeze-thaw cycles. |
|---|---|
| Form/Appearance | Liquid |
| Buffer/Preservatives | 0.01M TBS (pH7.4) with 1% rAlbumin, 0.02% Proclin300 and 50% Glycerol. |
| Concentration | 1mg/ml |
| Expiration Date | 12 months from date of receipt. |
| Disclaimer | For research use only |
Alternative Names
−Similar Products
−CEACAM5 Rabbit Polyclonal Antibody [orb614107]
ELISA, IHC, WB
Human, Mouse, Rat
Rabbit
Polyclonal
Unconjugated
100 μgCD66e rabbit pAb Antibody [orb766777]
ELISA, IF, IHC, WB
Human, Mouse, Rat
Polyclonal
Unconjugated
100 μl, 50 μlCEACAM1/5 rabbit pAb Antibody [orb766810]
ELISA, IF, IHC, WB
Human, Mouse, Rat
Polyclonal
Unconjugated
100 μlHnRNP M1-M4 Rabbit Polyclonal Antibody [orb184065]
IF, IHC-Fr, IHC-P
Canine, Equine
Human, Mouse, Rat
Rabbit
Polyclonal
Unconjugated
50 μl, 100 μl, 200 μl

Quality Guarantee
Explore bioreagents carefree to elevate your research. All our products are rigorously tested for performance. If a product does not perform as described on its datasheet, our scientific support team will provide expert troubleshooting, a prompt replacement, or a refund. For full details, please see our Terms & Conditions and Buying Guide. Contact us at [email protected].

Blank control (blue line): MCF7 (fixed with 70% methanol overnight at 4°C). Primary Antibody (green line): Rabbit Anti-CEA antibody (orb5838), dilution: 0.2 µg/10^6 cells, Isotype Control Antibody (orange line): Rabbit IgG. Secondary Antibody (white blue line): Goat anti-rabbit IgG-PE, dilution: 1 µg/Test.

Blank control: MCF7. Primary Antibody (green line): Rabbit Anti-CEA antibody (orb5838), dilution: 1 µg/10^6 cells, Isotype Control Antibody (orange line): Rabbit IgG. Secondary Antibody: Goat anti-rabbit IgG-AF647, dilution: 1 µg/Test. Protocol, The cells were incubated in 5% BSA to block non-specific protein-protein interactions for 30 min at room temperature. Cells stained with Primary Antibody for 30 min at room temperature. The secondary antibody used for 40 min at room temperature. Acquisition of 20000 events was performed.

Paraformaldehyde-fixed, paraffin embedded (human colon carcinoma), Antigen retrieval by boiling in sodium citrate buffer (pH6.0) for 15 min, Blocking buffer (normal goat serum) at 37°C for 30 min, Antibody incubation with (CEA) Polyclonal Antibody, Unconjugated (orb5838) at 1:200 overnight at 4°C, followed by a conjugated Goat Anti-Rabbit IgG antibody (orb868805) for 90 minutes, and DAPI for nuclei staining.

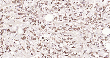
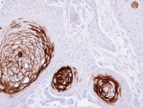
Paraformaldehyde-fixed, paraffin embedded (human rectal carcinoma), Antigen retrieval by boiling in sodium citrate buffer (pH6.0) for 15 min, Block endogenous peroxidase by 3% hydrogen peroxide for 20 minutes, Blocking buffer (normal goat serum) at 37°C for 30 min, Antibody incubation with (CEA) Polyclonal Antibody, Unconjugated (orb5838) at 1:200 overnight at 4°C, followed by operating according to SP Kit (Rabbit) instructionsand DAB staining.

Paraformaldehyde-fixed, paraffin embedded (human rectal carcinoma), Antigen retrieval by boiling in sodium citrate buffer (pH6.0) for 15 min, Blocking buffer (normal goat serum) at 37°C for 30 min, Antibody incubation with (CEA) Polyclonal Antibody, Unconjugated (orb5838) at 1:200 overnight at 4°C, followed by a conjugated Goat Anti-Rabbit IgG antibody (orb868805) for 90 minutes, and DAPI for nuclei staining.
Quick Database Links
UniProt Details
−Documents Download
Request a Document
Protocol Information
CEA Rabbit Polyclonal Antibody (orb5838)
Participating in our Biorbyt product reviews program enables you to support fellow scientists by sharing your firsthand experience with our products.
Login to Submit a Review






















