You have no items in your shopping cart.
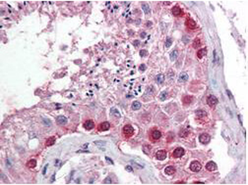
CUL4A Antibody
Description
Research Area
Images & Validation
−| Tested Applications | ELISA, IF |
|---|---|
| Dilution Range | IF:1:50-200 |
| Reactivity | Human |
Key Properties
−| Host | Rabbit |
|---|---|
| Clonality | Polyclonal |
| Isotype | IgG |
| Immunogen | Recombinant Human Cullin-4A protein (1-61AA) |
| Target | CUL4A |
| Purification | >95%, Protein G purified |
| Conjugation | Unconjugated |
Storage & Handling
−| Storage | Maintain refrigerated at 2-8°C for up to 2 weeks. For long term storage store at -20°C in small aliquots to prevent freeze-thaw cycles. |
|---|---|
| Form/Appearance | Liquid |
| Buffer/Preservatives | Preservative: 0.03% Proclin 300. Constituents: 50% Glycerol |
| Expiration Date | 12 months from date of receipt. |
| Disclaimer | For research use only |
Alternative Names
−Similar Products
−CUL4A Rabbit Polyclonal Antibody [orb585081]
IHC, WB
Bovine, Canine, Equine, Guinea pig, Mouse, Rabbit, Rat
Human
Rabbit
Polyclonal
Unconjugated
100 μlRabbit Cul4a Antibody [orb1529711]
IHC, IP, WB
Human, Mouse
Rabbit
Polyclonal
Unconjugated
100 μl, 10 μlCUL4A Mouse Monoclonal Antibody [orb394933]
ELISA, IF, IHC, IP, WB
Human, Monkey, Mouse, Rat
Mouse
Monoclonal
Unconjugated
50 μg, 100 μg

Quality Guarantee
Explore bioreagents carefree to elevate your research. All our products are rigorously tested for performance. If a product does not perform as described on its datasheet, our scientific support team will provide expert troubleshooting, a prompt replacement, or a refund. For full details, please see our Terms & Conditions and Buying Guide. Contact us at [email protected].

Immunofluorescent analysis of HepG2 cells using CUL4A antibody
Quick Database Links
UniProt Details
−Documents Download
Request a Document
Protocol Information
CUL4A Antibody (orb53407)
Participating in our Biorbyt product reviews program enables you to support fellow scientists by sharing your firsthand experience with our products.
Login to Submit a Review
















