You have no items in your shopping cart.
Description
Research Area
Images & Validation
−| Tested Applications | WB |
|---|---|
| Reactivity | Human |
| Predicted Reactivity | Mouse, Porcine, Rabbit, Rat |
Key Properties
−| Host | Rabbit |
|---|---|
| Clonality | Polyclonal |
| Immunogen | The immunogen is a synthetic peptide directed towards the middle region of human ERLIN2 |
| Target | ERLIN2 |
| Protein Sequence | Synthetic peptide located within the following region: ASNSKIYFGKDIPNMFMDSAGSVSKQFEGLADKLSFGLEDEPLETATKEN |
| Molecular Weight | 38kDa |
| Purification | Affinity Purified |
| Conjugation | Unconjugated |
Storage & Handling
−| Storage | Maintain refrigerated at 2-8°C for up to 2 weeks. For long term storage store at -20°C in small aliquots to prevent freeze-thaw cycles. |
|---|---|
| Buffer/Preservatives | Liquid. Purified antibody supplied in 1x PBS buffer with 0.09% (w/v) sodium azide and 2% sucrose. |
| Concentration | 0.5 mg/ml |
| Expiration Date | 12 months from date of receipt. |
| Disclaimer | For research use only |
Alternative Names
−Similar Products
−Erlin-2/ERLIN2 Rabbit Polyclonal Antibody [orb763166]
ELISA, FC, ICC, IF, WB
Human, Mouse, Rat
Rabbit
Polyclonal
Unconjugated
100 μgSPFH1 Rabbit Polyclonal Antibody [orb382694]
IHC, WB
Bovine, Human, Mouse, Rat, Zebrafish
Rabbit
Polyclonal
Unconjugated
30 μl, 100 μl, 200 μl, 50 μlERLIN2 Rabbit Polyclonal Antibody [orb626805]
ELISA, WB
Human, Mouse, Rat
Rabbit
Polyclonal
Unconjugated
50 μg, 100 μgERLIN2 Rabbit Polyclonal Antibody (HRP) [orb2100032]
WB
Human, Mouse, Porcine, Rabbit, Rat
Rabbit
Polyclonal
HRP
100 μlERLIN2 Rabbit Polyclonal Antibody (FITC) [orb2100033]
WB
Human, Mouse, Porcine, Rabbit, Rat
Rabbit
Polyclonal
FITC
100 μl

Quality Guarantee
Explore bioreagents carefree to elevate your research. All our products are rigorously tested for performance. If a product does not perform as described on its datasheet, our scientific support team will provide expert troubleshooting, a prompt replacement, or a refund. For full details, please see our Terms & Conditions and Buying Guide. Contact us at [email protected].

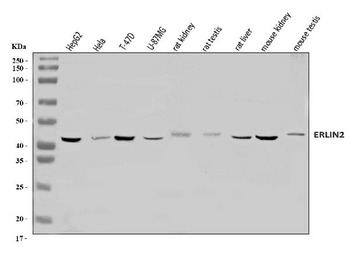
ERLIN2 antibody - middle region (orb326257) validated by WB using HeLa, aT3 cells at 1:200 / 1:1000.

Sample Tissue: Human HepG2 Whole Cell, Antibody Dilution: 1 ug/mL.

Sample Tissue: Human HepG2 Whole Cell, Antibody Dilution: 1 ug/mL.

Sample Tissue: Human HT1080 Whole Cell, Antibody Dilution: 1 ug/mL.

Sample Tissue: Human MCF7 Whole Cell, Antibody Dilution: 1 ug/mL.

Sample Type: 721_B, Antibody Dilution: 1.0 ug/mL, ERLIN2 is strongly supported by BioGPS gene expression data to be expressed in Human 721_B cells.

Sample Type: Human Adult Placenta, Antibody Dilution: 1.0 ug/mL.

Sample Type: Human Fetal Brain, Antibody Dilution: 1.0 ug/mL.

Sample Type: Human Fetal Heart, Antibody Dilution: 1.0 ug/mL.

Sample Type: Human Fetal Lung, Antibody Dilution: 1.0 ug/mL.

WB Suggested Anti-ERLIN2 Antibody Titration: 0.2-1 ug/mL, ELISA Titer: 1:62500, Positive Control: 293T cell lysate, ERLIN2 is strongly supported by BioGPS gene expression data to be expressed in HEK293T.
Documents Download
Request a Document
ERLIN2 Rabbit Polyclonal Antibody (orb326257)
Participating in our Biorbyt product reviews program enables you to support fellow scientists by sharing your firsthand experience with our products.
Login to Submit a Review





