You have no items in your shopping cart.
GNL3 Antibody
Description
Images & Validation
−| Tested Applications | ELISA, WB |
|---|---|
| Dilution range | WB: 1:500-1:2000 |
| Reactivity | Human |
Key Properties
−| Antibody Type | Primary Antibody |
|---|---|
| Host | Rabbit |
| Clonality | Polyclonal |
| Isotype | IgG |
| Immunogen | guanine nucleotide binding protein-like 3(nucleolar) |
| Target | GNL3 |
| Molecular Weight | 60-62 kDa |
| Purity | ≥95% as determined by SDS-PAGE |
| Purification | Immunogen affinity purified |
| Conjugation | Unconjugated |
Storage & Handling
−| Storage | Maintain refrigerated at 2-8°C for up to 2 weeks. For long term storage store at -20°C in small aliquots to prevent freeze-thaw cycles. |
|---|---|
| Form/Appearance | liquid |
| Disclaimer | For research use only |
Similar Products
−Nucleostemin/GNL3 Antibody [orb865524]
ELISA, FC, ICC, IF, IHC, WB
Human, Mouse, Rat
Rabbit
Polyclonal
Unconjugated
100 μg(Mouse) Gnl3 Antibody (C-term) [orb1926500]
WB
Human, Mouse, Rat
Rabbit
Polyclonal
Unconjugated
100 μl, 50 μlNucleostemin (GNL3) Antibody (C-term) [orb1936169]
IHC-P, WB
Human
Rabbit
Polyclonal
Unconjugated
100 μl, 50 μl

Quality Guarantee
Explore bioreagents carefree to elevate your research. All our products are rigorously tested for performance. If a product does not perform as described on its datasheet, our scientific support team will provide expert troubleshooting, a prompt replacement, or a refund. For full details, please see our Terms & Conditions and Buying Guide. Contact us at [email protected].

HEK-293 cells were subjected to SDS PAGE followed by western blot with orb629448 (Nucleostemin antibody) at dilution of 1:2000.
Quick Database Links
UniProt Details
−Documents Download
Request a Document
Protocol Information
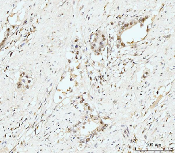
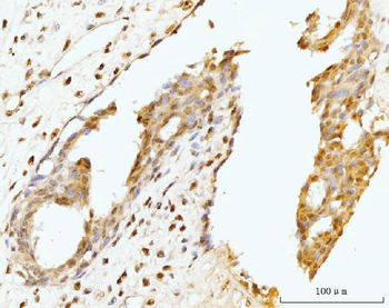
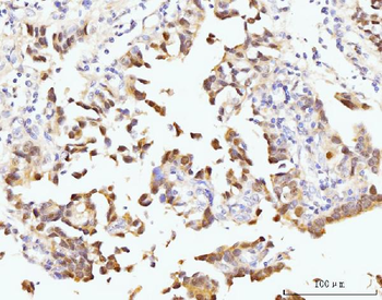
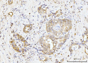
GNL3 Antibody (orb629448)
Participating in our Biorbyt product reviews program enables you to support fellow scientists by sharing your firsthand experience with our products.
Login to Submit a Review


















