You have no items in your shopping cart.
HLA-G Antibody
Description
Research Area
Images & Validation
−| Tested Applications | IHC, WB |
|---|---|
| Reactivity | Human |
Key Properties
−| Host | Mouse |
|---|---|
| Clonality | Monoclonal |
| Isotype | IgG |
| Clone No. | HLAG/7750 |
| Immunogen | Recombinant fragment (around aa1-200) of human HLAG protein (exact sequence is proprietary) |
| Target | HLA-G |
| Source/Expression System | Bioreactor |
| Molecular Weight | 39kDa |
| Purification | Protein A/G |
| Conjugation | Unconjugated |
Storage & Handling
−| Storage | Maintain refrigerated at 2-8°C for up to 2 weeks. For long term storage store at -20°C in small aliquots to prevent freeze-thaw cycles. |
|---|---|
| Form/Appearance | 200ug/ml of Ab purified from Bioreactor Concentrate by Protein A/G. Prepared in 10mM PBS with 0.05% rAlbumin & 0.05% azide. Also available WITHOUT rAlbumin & azide at 1.0mg/ml. |
| Expiration Date | 12 months from date of receipt. |
| Disclaimer | For research use only |
Alternative Names
−Similar Products
−Human Major Histocompatibility Complex Class I G (MHCG) ELISA Kit [orb776093]
Human
0.38-24 ng/mL
0.17 ng/mL
48 T, 96 T

Quality Guarantee
Explore bioreagents carefree to elevate your research. All our products are rigorously tested for performance. If a product does not perform as described on its datasheet, our scientific support team will provide expert troubleshooting, a prompt replacement, or a refund. For full details, please see our Terms & Conditions and Buying Guide. Contact us at [email protected].

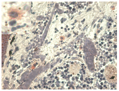
Formalin-fixed, paraffin-embedded human kidney stained with HLA-G Mouse Monoclonal Antibody (HLAG/7750). Inset: PBS instead of primary antibody; secondary only negative control.

SDS-PAGE Analysis of Purified HLA-G Mouse Monoclonal Antibody (HLAG/7750). Confirmation of Purity and Integrity of Antibody.

Western blot analysis of JEG3 cell lysate using HLA-G Mouse Monoclonal Antibody (HLAG/7750).
Quick Database Links
UniProt Details
−Documents Download
Request a Document
Protocol Information
HLA-G Antibody (orb2309990)
Participating in our Biorbyt product reviews program enables you to support fellow scientists by sharing your firsthand experience with our products.
Login to Submit a Review
















