You have no items in your shopping cart.
Human HCG-α Mouse Monoclonal Antibody
Description
Research Area
Images & Validation
−| Tested Applications | ELISA |
|---|---|
| Dilution Range | ELISA=1:5000-10000 |
| Reactivity | Human |
Key Properties
−| Antibody Type | Primary Antibody |
|---|---|
| Host | Mouse |
| Clonality | Monoclonal |
| Isotype | IgG1 |
| Clone No. | 4G11 |
| Immunogen | Recombinant Human HCG-α Protein |
| Target | CGA |
| Molecular Weight | 13 kDa |
| Purification | Affinity purified by Protein A |
| Conjugation | Unconjugated |
Storage & Handling
−| Storage | Maintain refrigerated at 2-8°C for up to 2 weeks. For long term storage store at -20°C in small aliquots to prevent freeze-thaw cycles. |
|---|---|
| Form/Appearance | Liquid |
| Buffer/Preservatives | 0.01M PBS (pH7.4). |
| Expiration Date | 12 months from date of receipt. |
| Disclaimer | For research use only |
Alternative Names
−Similar Products
−Human HCG-α Mouse Monoclonal Antibody [orb1727989]
ELISA
Human
Human
Mouse
Monoclonal
Unconjugated
inquiry

Quality Guarantee
Explore bioreagents carefree to elevate your research. All our products are rigorously tested for performance. If a product does not perform as described on its datasheet, our scientific support team will provide expert troubleshooting, a prompt replacement, or a refund. For full details, please see our Terms & Conditions and Buying Guide. Contact us at [email protected].

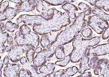
Paraformaldehyde-fixed, paraffin embedded (human placenta), Antigen retrieval by boiling in sodium citrate buffer (pH6.0) for 15 min, Block endogenous peroxidase by 3% hydrogen peroxide for 20 minutes, Blocking buffer (normal goat serum) at 37°C for 30 min, Incubation with (Human CGA) Monoclonal Antibody, Unconjugated (orb1727988) at 1:200 overnight at 4°C, followed by operating according to SP Kit (Mouse) instructionsand DAB staining.
Quick Database Links
UniProt Details
−Documents Download
Request a Document
Human HCG-α Mouse Monoclonal Antibody (orb1727988)
Participating in our Biorbyt product reviews program enables you to support fellow scientists by sharing your firsthand experience with our products.
Login to Submit a Review

