You have no items in your shopping cart.
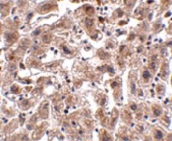
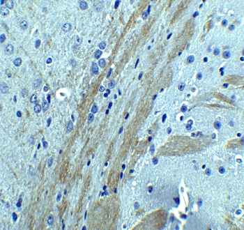
OCLN Antibody
Description
Images & Validation
−
| Tested Applications | IHC-Fr, IHC-P, WB |
|---|---|
| Dilution Range | WB:1:500-1:2,000, IHC-P:1:250-1:1,000, IHC-F:1:250-1:1,000 |
| Reactivity | Canine, Human, Monkey, Mouse, Rat |
| Application Notes |
Key Properties
−| Host | Goat |
|---|---|
| Clonality | Polyclonal |
| Isotype | IgG |
| Immunogen | Antigen: Peptide derived from within residues 500 aa to the C-terminus of human Occludin. Antigen Sequence: CKQLKSKLSHIKKMVGDYDRQKT |
| Target | Occludin |
| Purification | Epitope affinity purified |
| Conjugation | Unconjugated |
Storage & Handling
−| Storage | Maintain refrigerated at 2-8°C for up to 2 weeks. For long term storage store at -20°C in small aliquots to prevent freeze-thaw cycles. |
|---|---|
| Form/Appearance | Polyclonal antibody supplied as a 100 µl (3 mg/ml) aliquot in PBS, 20% glycerol and 0.05% sodium azide. This antibody is epitope-affinity purified from goat antiserum. |
| Concentration | Please inquire |
| Expiration Date | 12 months from date of receipt. |
| Disclaimer | For research use only |
Alternative Names
−Similar Products
−Occludin Rabbit Polyclonal Antibody [orb185667]
FC, WB
Bovine, Canine, Equine, Guinea pig, Porcine, Rat
Human, Mouse
Rabbit
Polyclonal
Unconjugated
50 μl, 100 μl, 200 μlOCLN Rabbit Polyclonal Antibody [orb11181]
FC, WB
Bovine, Canine, Equine, Guinea pig, Mouse, Porcine, Rat
Human
Rabbit
Polyclonal
Unconjugated
50 μl, 100 μl, 200 μlOCLN Antibody [orb1239676]
ELISA, IF, IHC-P, WB
Human, Mouse, Rat
Rabbit
Polyclonal
Unconjugated
0.1 mg, 0.02 mg

Quality Guarantee
Explore bioreagents carefree to elevate your research. All our products are rigorously tested for performance. If a product does not perform as described on its datasheet, our scientific support team will provide expert troubleshooting, a prompt replacement, or a refund. For full details, please see our Terms & Conditions and Buying Guide. Contact us at [email protected].
Quick Database Links
Documents Download
Request a Document
Protocol Information
OCLN Antibody (orb653867)
Participating in our Biorbyt product reviews program enables you to support fellow scientists by sharing your firsthand experience with our products.
Login to Submit a Review


















