You have no items in your shopping cart.
PTGS2 Antibody
Description
Research Area
Images & Validation
−| Tested Applications | ELISA, IF, IHC, WB |
|---|---|
| Dilution Range | WB: 1: 500-1: 3000, IHC-P: 1: 50-1: 100, IF: 1: 100-1: 500 |
| Reactivity | Human, Mouse, Rat |
Key Properties
−| Host | Rabbit |
|---|---|
| Clonality | Polyclonal |
| Isotype | IgG |
| Immunogen | Synthesized peptide derived from Human Cox2. |
| Target | PTGS2 |
| Purification | The antibody was affinity-purified from rabbit antiserum by affinity-chromatography using epitope-specific immunogen. |
| Conjugation | Unconjugated |
Storage & Handling
−| Storage | Maintain refrigerated at 2-8°C for up to 2 weeks. For long term storage store at -20°C in small aliquots to prevent freeze-thaw cycles. |
|---|---|
| Form/Appearance | liquid |
| Buffer/Preservatives | Rabbit IgG in phosphate buffered saline (without Mg2+ and Ca2+), pH 7.4, 150mM NaCl, 0.02% sodium azide and 50% glycerol. |
| Expiration Date | 12 months from date of receipt. |
| Disclaimer | For research use only |
Alternative Names
−Similar Products
−Cyclooxygenase 2 Rabbit Polyclonal Antibody [orb501007]
ICC, IF, IHC-Fr, IHC-P, WB
Bovine, Canine, Porcine, Rabbit, Sheep
Human, Mouse
Rabbit
Polyclonal
Unconjugated
50 μl, 100 μl, 200 μlCyclooxygenase 2 Rabbit Polyclonal Antibody [orb182638]
FC, ICC
Bovine, Canine, Equine, Gallus, Mouse, Porcine, Rabbit, Rat, Sheep
Human
Rabbit
Polyclonal
Unconjugated
50 μl, 100 μl, 200 μlPTGS2 Antibody [orb1410018]
IHC
Human
Mouse
Monoclonal
Unconjugated
20 μg, 100 μg, 100 μg (without BSA and Azide)PTGS2 Antibody (Center P378) [orb1938116]
IF, IHC-P, WB
Human
Rabbit
Polyclonal
Unconjugated
100 μl, 50 μl

Quality Guarantee
Explore bioreagents carefree to elevate your research. All our products are rigorously tested for performance. If a product does not perform as described on its datasheet, our scientific support team will provide expert troubleshooting, a prompt replacement, or a refund. For full details, please see our Terms & Conditions and Buying Guide. Contact us at [email protected].

Western blot analysis of HeLa cells (Lane 2), and A549 cells (Lane 3) using Cox2 antibody

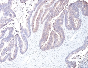
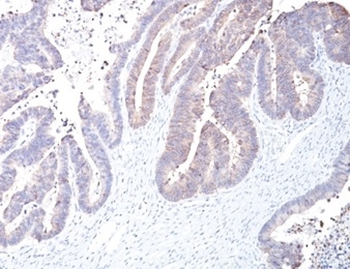
Immunohistochemical staining of human breast carcinoma tissue using Cox2 antibody

Immunofluorescence analysis of A549 cells using Cox2 antibody

Western blot analysis of A549 cells using Cox2 antibody
Quick Database Links
UniProt Details
−Documents Download
Request a Document
Protocol Information
PTGS2 Antibody (orb685579)
Participating in our Biorbyt product reviews program enables you to support fellow scientists by sharing your firsthand experience with our products.
Login to Submit a Review























