You have no items in your shopping cart.
RORC Antibody / ROR gamma
Description
Images & Validation
−| Tested Applications | FACS, IF, IHC-P |
|---|---|
| Dilution Range | Flow cytometry: 1-2ug/million cells,Immunofluorescence: 1-2ug/ml,Immunohistochemistry (FFPE): 1-2ug/ml for 30 minutes at RT,Prediluted IHC only format: incubate for 30 min at RT (1) |
| Reactivity | Human |
| Application Notes |
Key Properties
−| Antibody Type | Primary Antibody |
|---|---|
| Host | Mouse |
| Clonality | Monoclonal |
| Isotype | Mouse IgG2a, kappa |
| Clone No. | RORC/2941 |
| Immunogen | Recombinant human RORC protein was used as the immunogen for the RORC antibody. The epitope has been found to be with amino acids 1-50. |
| Purification | Protein G affinity chromatography |
| Conjugation | Unconjugated |
Storage & Handling
−| Storage | Maintain refrigerated at 2-8°C for up to 2 weeks. For long term storage store at -20°C in small aliquots to prevent freeze-thaw cycles. |
|---|---|
| Buffer/Preservatives | 1 mg/ml in 1X PBS; rAlbumin free, sodium azide free |
| Expiration Date | 12 months from date of receipt. |
| Disclaimer | For research use only |
Similar Products
−
Quality Guarantee
Explore bioreagents carefree to elevate your research. All our products are rigorously tested for performance. If a product does not perform as described on its datasheet, our scientific support team will provide expert troubleshooting, a prompt replacement, or a refund. For full details, please see our Terms & Conditions and Buying Guide. Contact us at [email protected].

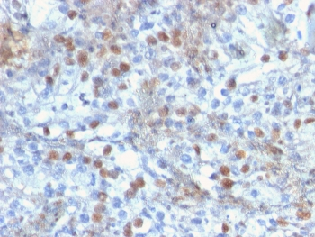
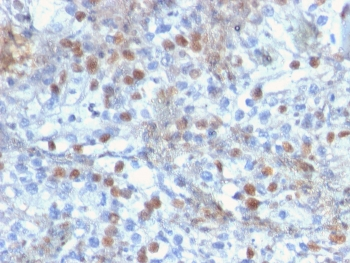
IHC staining of FFPE human kidney with RORC antibody (clone RORC/2941). HIER: boil tissue sections in pH6, 10mM citrate buffer, for 10-20 min and allow to cool before testing.

IHC staining of FFPE human colon carcinoma with RORC antibody (clone RORC/2941). HIER: boil tissue sections in pH6, 10mM citrate buffer, for 10-20 min and allow to cool before testing.

Immunofluorescence staining of PFA-fixed human MOLT4 cells with RORC antibody (green, clone RORC/2941) and Phalloidin (red).

Flow cytometry testing of PFA-fixed human MOLT4 cells with RORC antibody (clone RORC/2941); Red=isotype control, Blue= RORC antibody.

Analysis of HuProt (TM) microarray containing more than 19000 full-length human proteins using RORC antibody (clone RORC/2941). These results demonstrate the foremost specificity of the RORC/2941 mAb. Z- and S- score: The Z-score represents the strength of a signal that an antibody (in combination with a fluorescently-tagged anti-IgG secondary Ab) produces when binding to a particular protein on the HuProt (TM) array. Z-scores are described in units of standard deviations (SD's) above the mean value of all signals generated on that array. If the targets on the HuProt (TM) are arranged in descending order of the Z-score, the S-score is the difference (also in units of SD's) between the Z-scores. The S-score therefore represents the relative target specificity of an Ab to its intended target.

SDS-PAGE analysis of purified, BSA-free RORC antibody (clone RORC/2941) as confirmation of integrity and purity.
Quick Database Links
UniProt Details
−Documents Download
Request a Document
Protocol Information
RORC Antibody / ROR gamma (orb2642883)
Participating in our Biorbyt product reviews program enables you to support fellow scientists by sharing your firsthand experience with our products.
Login to Submit a Review







