You have no items in your shopping cart.
RPS6KA3 Antibody
Description
Images & Validation
−| Tested Applications | ELISA, IF, IHC, WB |
|---|---|
| Dilution range | WB: 1:500-1:2000; IHC: 1:20-1:200; IF: 1:20-1:200 |
| Reactivity | Human, Mouse |
Key Properties
−| Antibody Type | Primary Antibody |
|---|---|
| Host | Rabbit |
| Clonality | Polyclonal |
| Isotype | IgG |
| Immunogen | ribosomal protein S6 kinase, 90kDa, polypeptide 3 |
| Target | RPS6KA3 |
| Purity | ≥95% as determined by SDS-PAGE |
| Purification | Immunogen affinity purified |
| Conjugation | Unconjugated |
Storage & Handling
−| Storage | Maintain refrigerated at 2-8°C for up to 2 weeks. For long term storage store at -20°C in small aliquots to prevent freeze-thaw cycles. |
|---|---|
| Form/Appearance | liquid |
| Disclaimer | For research use only |
Similar Products
−Mouse Ribosomal Protein S6 Kinase Alpha 3 (RPS6KA3) ELISA Kit [orb1817295]
Mouse
15.63-1000 pg/mL
6.94 pg/mL
48 T, 96 TRsk 2/MAPKAP Kinase 1b/RPS6KA3 Antibody [orb623895]
ELISA, FC, ICC, IF, IP, WB
Human, Mouse, Rat
Rabbit
Polyclonal
Unconjugated
100 μgRPS6KA3 (S369) antibody [orb1925453]
WB
Zebrafish
Human, Mouse
Rabbit
Polyclonal
Unconjugated
100 μl, 50 μl

Quality Guarantee
Explore bioreagents carefree to elevate your research. All our products are rigorously tested for performance. If a product does not perform as described on its datasheet, our scientific support team will provide expert troubleshooting, a prompt replacement, or a refund. For full details, please see our Terms & Conditions and Buying Guide. Contact us at [email protected].

K-562 cells were subjected to SDS PAGE followed by western blot with orb630875 (RPS6KA3 antibody) at dilution of 1:1000.

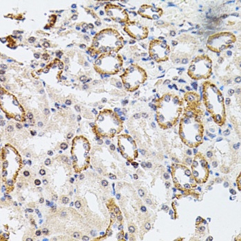
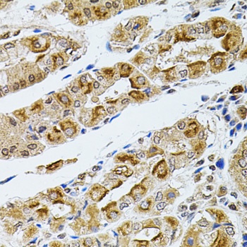
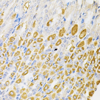
Immunohistochemistry of paraffin-embedded human kidney tissue slide using orb630875 (RPS6KA3 Antibody) at dilution of 1:50.
Quick Database Links
UniProt Details
−Documents Download
Request a Document
Protocol Information
RPS6KA3 Antibody (orb630875)
Participating in our Biorbyt product reviews program enables you to support fellow scientists by sharing your firsthand experience with our products.
Login to Submit a Review















