You have no items in your shopping cart.
53BP1 rabbit pAb
Description
Images & Validation
−| Tested Applications | ELISA, IF, IHC-P, WB |
|---|---|
| Dilution range | Western Blot: 1/500 - 1/2000. Immunohistochemistry: 1/100 - 1/300. Immunofluorescence: 1/200 - 1/1000. ELISA: 1/10000. Not yet tested in other applications. |
| Reactivity | Human, Mouse, Rat |
Key Properties
−| Clonality | Polyclonal |
|---|---|
| Isotype | IgG |
| Immunogen | The antiserum was produced against synthesized peptide derived from human 53BP1. AA range:1-50 |
| Molecular Weight | 213 |
| Purification | The antibody was affinity-purified from rabbit antiserum by affinity-chromatography using epitope-specific immunogen. |
| Conjugation | Unconjugated |
Storage & Handling
−| Storage | Maintain refrigerated at 2-8°C for up to 2 weeks. For long term storage store at -20°C in small aliquots to prevent freeze-thaw cycles. |
|---|---|
| Buffer/Preservatives | PBS with 0.02% sodium azide and 50% glycerol pH 7.4. |
| Concentration | 1 mg/ml |
| Disclaimer | For research use only |
Alternative Names
−Similar Products
−53BP1 (phospho Ser25) rabbit pAb [orb770311]
ELISA, IF, IHC-P
Human, Mouse, Rat
Polyclonal
Unconjugated
100 μl, 50 μl53BP1 (phospho Ser6) rabbit pAb [orb770310]
ELISA, IHC-P, WB
Human, Monkey, Mouse, Rat
Polyclonal
Unconjugated
50 μl, 100 μl53BP1 (phospho-Thr543) rabbit pAb [orb2306255]
Human, Mouse, Rat
Polyclonal
Unconjugated
50 μl, 100 μl53BP1 (phospho-Ser1778) rabbit pAb [orb2306256]
Human, Mouse, Rat
Polyclonal
Unconjugated
100 μl, 50 μl

Quality Guarantee
Explore bioreagents carefree to elevate your research. All our products are rigorously tested for performance. If a product does not perform as described on its datasheet, our scientific support team will provide expert troubleshooting, a prompt replacement, or a refund. For full details, please see our Terms & Conditions and Buying Guide. Contact us at [email protected].

Western Blot analysis of various cells using 53BP1 Polyclonal Antibody diluted at 1:2000.

Immunofluorescence analysis of HeLa cells, using 53BP1 Antibody. The picture on the right is blocked with the synthesized peptide.

Western blot analysis of lysates from A549 cells, using 53BP1 Antibody. The lane on the right is blocked with the synthesized peptide.

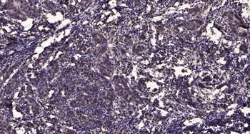
Immunohistochemical analysis of paraffin-embedded human tonsil. 1, Antibody was diluted at 1:200 (4°C overnight). 2, Tris-EDTA, pH9.0 was used for antigen retrieval. 3, Secondary antibody was diluted at 1:200 (room temperature, 45min).
Quick Database Links
Protocol Information
53BP1 rabbit pAb (orb764427)
Participating in our Biorbyt product reviews program enables you to support fellow scientists by sharing your firsthand experience with our products.
Login to Submit a Review





