You have no items in your shopping cart.
ACADM Antibody
Description
Research Area
Images & Validation
−| Tested Applications | ELISA, IHC |
|---|---|
| Dilution range | ICC:1:10-100, IF:1:50-200, IP:1:200-2000 |
| Reactivity | Human |
Key Properties
−| Host | Rabbit |
|---|---|
| Clonality | Polyclonal |
| Isotype | IgG |
| Immunogen | Recombinant Human Medium-chain specific acyl-CoA dehydrogenase, mitochondrial protein (26-421AA) |
| Target | ACADM |
| Purification | >95%, Protein G purified |
| Conjugation | Unconjugated |
Storage & Handling
−| Storage | Maintain refrigerated at 2-8°C for up to 2 weeks. For long term storage store at -20°C in small aliquots to prevent freeze-thaw cycles. |
|---|---|
| Form/Appearance | Liquid |
| Buffer/Preservatives | Preservative: 0.03% Proclin 300. Constituents: 50% Glycerol |
| Disclaimer | For research use only |
Alternative Names
−Similar Products
−ACADM/MCAD Antibody [orb865598]
FC, ICC, IF, IHC, WB
Human, Mouse, Rat
Rabbit
Polyclonal
Unconjugated
100 μgACADM Antibody (Center) [orb1929779]
FC, IF, IHC-P, WB
Monkey
Human, Mouse
Rabbit
Polyclonal
Unconjugated
100 μl, 50 μlACADM/MCAD Antibody [orb1145846]
ELISA, FC, ICC, IF, IHC, WB
Human, Mouse, Rat
Rabbit
Polyclonal
Unconjugated
100 μg

Quality Guarantee
Explore bioreagents carefree to elevate your research. All our products are rigorously tested for performance. If a product does not perform as described on its datasheet, our scientific support team will provide expert troubleshooting, a prompt replacement, or a refund. For full details, please see our Terms & Conditions and Buying Guide. Contact us at [email protected].

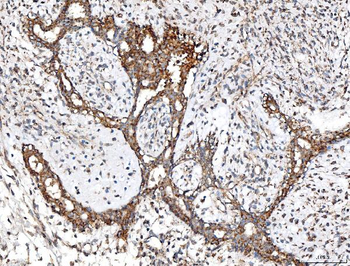
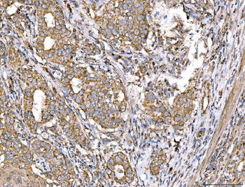
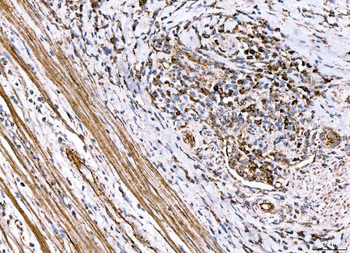
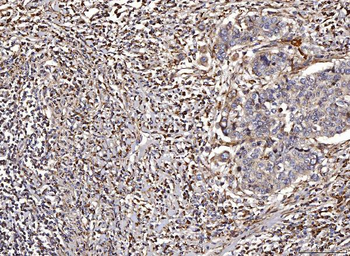
Immunohistochemical staining of human colon cancer using ACADM antibody

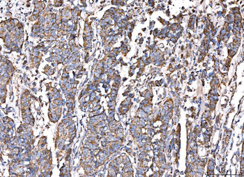
Immunohistochemical staining of human kidney tissue using ACADM antibody
Quick Database Links
UniProt Details
−Documents Download
Request a Document
Protocol Information
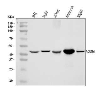
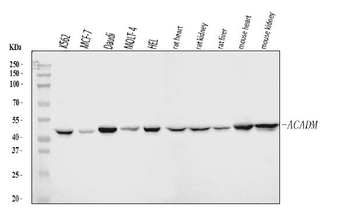
ACADM Antibody (orb20413)
Participating in our Biorbyt product reviews program enables you to support fellow scientists by sharing your firsthand experience with our products.
Login to Submit a Review























