You have no items in your shopping cart.
ACAT2 Antibody
Description
Research Area
Images & Validation
−| Tested Applications | ELISA, FC, IHC, IP, WB |
|---|---|
| Dilution Range | WB: 1:1000-1:5000; IHC: 1:20-1:200; IP: 1:200-1:2000 |
| Reactivity | Human, Mouse, Rat |
Key Properties
−| Antibody Type | Primary Antibody |
|---|---|
| Host | Rabbit |
| Clonality | Polyclonal |
| Isotype | IgG |
| Immunogen | acetyl-Coenzyme A acetyltransferase 2 |
| Target | ACAT2 |
| Molecular Weight | 42 kDa |
| Purity | ≥95% as determined by SDS-PAGE |
| Purification | Immunogen affinity purified |
| Conjugation | Unconjugated |
Storage & Handling
−| Storage | Maintain refrigerated at 2-8°C for up to 2 weeks. For long term storage store at -20°C in small aliquots to prevent freeze-thaw cycles. |
|---|---|
| Form/Appearance | liquid |
| Expiration Date | 12 months from date of receipt. |
| Disclaimer | For research use only |
Alternative Names
−Similar Products
−SOAT2 Rabbit Polyclonal Antibody [orb4332]
IF, IHC-Fr, IHC-P, WB
Bovine, Canine, Equine, Porcine, Rabbit
Human, Mouse, Rat
Rabbit
Polyclonal
Unconjugated
100 μl, 200 μl, 50 μlHuman Acetyl Coenzyme A Acetyltransferase 2 (ACAT2) ELISA Kit [orb777644]
Human
78.13-5000 pg/mL
31 pg/mL
96 T, 48 TMouse Acetyl Coenzyme A Acetyltransferase 2 (ACAT2) ELISA Kit [orb780914]
Mouse
0.16-10 ng/mL
0.057 ng/mL
48 T, 96 T

Quality Guarantee
Explore bioreagents carefree to elevate your research. All our products are rigorously tested for performance. If a product does not perform as described on its datasheet, our scientific support team will provide expert troubleshooting, a prompt replacement, or a refund. For full details, please see our Terms & Conditions and Buying Guide. Contact us at [email protected].

IP Result of anti-ACAT2 (IP: orb624434, 4 ug; Detection: orb624434 1:1000) with mouse liver tissue lysate 4000 ug.

mouse liver tissue were subjected to SDS PAGE followed by western blot with orb624434 (ACAT2 antibody) at dilution of 1:2000.

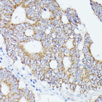
Immunohistochemistry of paraffin-embedded human lung using orb624434 (ACAT2 antibody) at dilution of 1:100.
Quick Database Links
UniProt Details
−Documents Download
Request a Document
Protocol Information
ACAT2 Antibody (orb624434)
Participating in our Biorbyt product reviews program enables you to support fellow scientists by sharing your firsthand experience with our products.
Login to Submit a Review














