You have no items in your shopping cart.
ADAR Rabbit Polyclonal Antibody
Description
Research Area
Images & Validation
−| Tested Applications | ELISA, IF, IHC, IP, WB |
|---|---|
| Dilution Range | WB: 1:500-1:2000; IHC: 1:50-1:200; IP: 1:200-1:1000; IF: 1:20-1:200 |
| Reactivity | Human, Mouse, Rat |
Key Properties
−| Antibody Type | Primary Antibody |
|---|---|
| Host | Rabbit |
| Clonality | Polyclonal |
| Isotype | IgG |
| Immunogen | adenosine deaminase, RNA-specific |
| Target | ADAR |
| Molecular Weight | 136 kDa, observed 110 kDa |
| Purity | ≥95% as determined by SDS-PAGE |
| Purification | Immunogen affinity purified |
| Conjugation | Unconjugated |
Storage & Handling
−| Storage | Maintain refrigerated at 2-8°C for up to 2 weeks. For long term storage store at -20°C in small aliquots to prevent freeze-thaw cycles. |
|---|---|
| Form/Appearance | liquid |
| Expiration Date | 12 months from date of receipt. |
| Disclaimer | For research use only |
Alternative Names
−Similar Products
−ADAR1/ADAR Rabbit Polyclonal Antibody [orb1098125]
ELISA, ICC, IF, IHC, WB
Human, Mouse, Rat
Rabbit
Polyclonal
Unconjugated
100 μgADAR1 Rabbit Polyclonal Antibody [orb13237]
IF, IHC-Fr, IHC-P, WB
Mouse, Rat
Human, Mouse, Rat
Rabbit
Polyclonal
Unconjugated
50 μl, 100 μl, 200 μlADAR1 Rabbit Polyclonal Antibody [orb5984]
FC, WB
Human
Human
Rabbit
Polyclonal
Unconjugated
50 μl, 100 μl, 200 μlADAR1 rabbit pAb Antibody [orb767334]
ELISA, IF, IHC, WB
Human, Mouse, Rat
Polyclonal
Unconjugated
100 μl, 50 μlADAR Antibody [orb215997]
IHC, WB
Human, Mouse, Porcine, Rat
Rabbit
Polyclonal
Unconjugated
50 μl, 30 μl, 100 μl, 200 μl

Quality Guarantee
Explore bioreagents carefree to elevate your research. All our products are rigorously tested for performance. If a product does not perform as described on its datasheet, our scientific support team will provide expert troubleshooting, a prompt replacement, or a refund. For full details, please see our Terms & Conditions and Buying Guide. Contact us at [email protected].

IP Result of anti-ADAR1 (IP: orb624503, 4 ug; Detection: orb624503 1:500) with Y79 cells lysate 3000 ug.

HeLa cells were subjected to SDS PAGE followed by western blot with orb624503 (ADAR1 Antibody) at dilution of 1:1000.

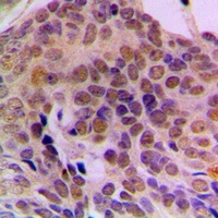
Immunohistochemistry of paraffin-embedded human gliomas using orb624503 (ADAR1 antibody) at dilution of 1:50.
Quick Database Links
UniProt Details
−Documents Download
Request a Document
Protocol Information
ADAR Rabbit Polyclonal Antibody (orb624503)
Participating in our Biorbyt product reviews program enables you to support fellow scientists by sharing your firsthand experience with our products.
Login to Submit a Review














