You have no items in your shopping cart.
ALDH6A1 Antibody
Description
Images & Validation
−| Tested Applications | FC, ICC, IHC, WB |
|---|---|
| Dilution Range | WB: 1/500 - 1/2000; IHC: 1/200 - 1/1000; IF/ICC: 1/200 - 1/1000; FCM: 1/200 - 1/400; ELISA: 1/10000 |
| Reactivity | Human |
Key Properties
−| Antibody Type | Primary Antibody |
|---|---|
| Host | Mouse |
| Clonality | Monoclonal |
| Isotype | Mouse IgG1 |
| Clone No. | 6H9B8 |
| Immunogen | Purified recombinant fragment of human ALDH6A1 (AA: 1-195) expressed in E. Coli. |
| Target | Disease |
| Molecular Weight | 57.8kDa |
| Conjugation | Unconjugated |
Storage & Handling
−| Storage | Maintain refrigerated at 2-8°C for up to 2 weeks. For long term storage store at -20°C in small aliquots to prevent freeze-thaw cycles. |
|---|---|
| Buffer/Preservatives | Purified antibody in PBS with 0.05% sodium azide |
| Concentration | Approximately 1mg/ml (varies from batch to batch). Please inquire for precise concentration. |
| Expiration Date | 12 months from date of receipt. |
| Disclaimer | For research use only |
Alternative Names
−Similar Products
−Human Aldehyde Dehydrogenase 6 Family, Member A1 (ALDH6A1) ELISA Kit [orb779096]
Human
0.16-10 ng/mL
0.055 ng/mL
48 T, 96 T

Quality Guarantee
Explore bioreagents carefree to elevate your research. All our products are rigorously tested for performance. If a product does not perform as described on its datasheet, our scientific support team will provide expert troubleshooting, a prompt replacement, or a refund. For full details, please see our Terms & Conditions and Buying Guide. Contact us at [email protected].

Immunofluorescence analysis of Hela cells using ALDH6A1 antibody

Immunofluorescence analysis of Hela cells using ALDH6A1 antibody

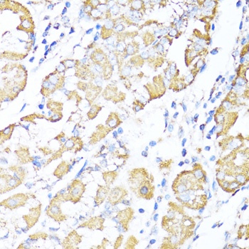
Immunohistochemical analysis of formalin-fixed and paraffin-embedded rectum cancer tissues using ALDH6A1 antibody

Immunohistochemical analysis of formalin-fixed and paraffin-embedded endometrial cancer tissues using ALDH6A1 antibody

Western blot analysis of human recombinant protein using ALDH6A1 antibody

Western blot analysis of HEK293 using ALDH6A1 antibody

Western blot analysis of Jurkat (Lane1), HEK293 (Lane2), Hela (Lane3), MCF-7 (Lane4), and LNcap (Lane5) cell lysate using ALDH6A1 antibody

ELISA Black line: Control Antigen (100 ng);Purple line: Antigen (10ng); Blue line: Antigen (50 ng); Red line:Antigen (100 ng)

Flow cytometric analysis of Hela cells using ALDH6A1 antibody
Documents Download
Request a Document
Protocol Information
ALDH6A1 Antibody (orb333870)
Participating in our Biorbyt product reviews program enables you to support fellow scientists by sharing your firsthand experience with our products.
Login to Submit a Review





















