You have no items in your shopping cart.
ALPPL2 Antibody (N-term)
Description
Images & Validation
−| Tested Applications | IHC-P, WB |
|---|---|
| Dilution range | WB - 1:1000, IHC-P - 1:100-500 |
| Reactivity | Human |
Key Properties
−| Antibody Type | Primary Antibody |
|---|---|
| Host | Rabbit |
| Clonality | Polyclonal |
| Isotype | Rabbit IgG |
| Molecular Weight | 57377 Da |
| Conjugation | Unconjugated |
Storage & Handling
−| Storage | Maintain refrigerated at 2-8°C for up to 2 weeks. For long term storage store at -20°C in small aliquots to prevent freeze-thaw cycles |
|---|---|
| Form/Appearance | Purified polyclonal antibody supplied in PBS with 0.09% (W/V) sodium azide. This antibody is purified through a protein A column, followed by peptide affinity purification. |
| Disclaimer | For research use only |
Similar Products
−ALP Antibody [orb235008]
IHC, WB
Human, Mouse
Rabbit
Polyclonal
Unconjugated
100 μl, 200 μl, 30 μl, 50 μl

Quality Guarantee
Explore bioreagents carefree to elevate your research. All our products are rigorously tested for performance. If a product does not perform as described on its datasheet, our scientific support team will provide expert troubleshooting, a prompt replacement, or a refund. For full details, please see our Terms & Conditions and Buying Guide. Contact us at [email protected].

ALPPL2 Antibody (N-term) western blot analysis in A549 cell line lysates (35 ug/lane). This demonstrates the ALPPL2 antibody detected the ALPPL2 protein (arrow).

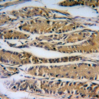
ALPPL2 Antibody (N-term) immunohistochemistry analysis in formalin fixed and paraffin embedded human placenta tissue followed by peroxidase conjugation of the secondary antibody and DAB staining. This data demonstrates the use of ALPPL2 Antibody (N-term) for immunohistochemistry. Clinical relevance has not been evaluated.
Quick Database Links
UniProt Details
−Documents Download
Request a Document
Protocol Information
ALPPL2 Antibody (N-term) (orb1936594)
Participating in our Biorbyt product reviews program enables you to support fellow scientists by sharing your firsthand experience with our products.
Login to Submit a Review
