You have no items in your shopping cart.
CRABP2 Antibody
Description
Images & Validation
−| Tested Applications | ELISA, FC, IHC, WB |
|---|---|
| Reactivity | Human |
| Application Notes |
Key Properties
−| Antibody Type | Primary Antibody |
|---|---|
| Host | Rabbit |
| Clonality | Polyclonal |
| Isotype | Rabbit IgG |
| Immunogen | E.coli-derived human CRABP2 recombinant protein (Position: R60-D117). |
| Molecular Weight | 17 kDa |
| Purification | Immunogen affinity purified. |
| Conjugation | Unconjugated |
Storage & Handling
−| Storage | Maintain refrigerated at 2-8°C for up to 2 weeks. For long term storage store at -20°C in small aliquots to prevent freeze-thaw cycles. |
|---|---|
| Form/Appearance | Lyophilized |
| Concentration | Adding 0.2 ml of distilled water will yield a concentration of 500 μg/ml. |
| Disclaimer | For research use only |
Alternative Names
−Similar Products
−Human Cellular Retinoic Acid Binding Protein 2 (CRABP2) ELISA Kit [orb777078]
Human
0.32-20 ng/mL
0.114 ng/mL
96 T, 48 TCRABP-II rabbit pAb Antibody [orb764917]
ELISA, IF, IHC, WB
Human, Mouse, Rat
Polyclonal
Unconjugated
100 μl, 50 μlCRABP2 Recombinant Mouse Monoclonal Antibody [orb1173055]
ICC, IF, IHC-Fr, IHC-P, WB
Human
Human
Mouse
Recombinant
Unconjugated
25 μl, 100 μl, 50 μlCRABP2 Rabbit Polyclonal Antibody [orb101669]
IF, IHC-Fr, IHC-P
Bovine, Canine, Guinea pig, Human, Porcine, Rabbit
Mouse, Rat
Rabbit
Polyclonal
Unconjugated
50 μl, 100 μl, 200 μlCRABP2 Antibody [orb213773]
IF, IHC, WB
Human
Rabbit
Polyclonal
Unconjugated
30 μl, 100 μl, 200 μl, 50 μl

Quality Guarantee
Explore bioreagents carefree to elevate your research. All our products are rigorously tested for performance. If a product does not perform as described on its datasheet, our scientific support team will provide expert troubleshooting, a prompt replacement, or a refund. For full details, please see our Terms & Conditions and Buying Guide. Contact us at [email protected].

Flow Cytometry analysis of U251 cells using anti-CRABP2 antibody. Overlay histogram showing U251 cells (Blue line). To facilitate intracellular staining, cells were fixed with 4% paraformaldehyde and permeabilized with permeabilization buffer. The cells were blocked with 10% normal goat serum. And then incubated with rabbit anti-CRABP2 Antibody (1 µg/1x10^6 cells) for 30 min at 20°C. DyLight®488 conjugated goat anti-rabbit IgG (5-10 µg/1x10^6 cells) was used as secondary antibody for 30 minutes at 20°C. Isotype control antibody (Green line) was rabbit IgG (1 µg/1x10^6) used under the same conditions. Unlabelled sample without incubation with primary antibody and secondary antibody (Red line) was used as a blank control.

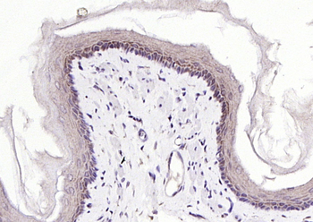
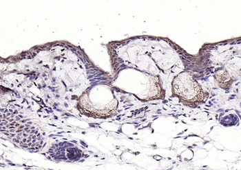
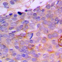
IHC analysis of CRABP2 using anti-CRABP2 antibody. CRABP2 was detected in a paraffin-embedded section of human laryngeal squamous cell carcinoma tissue. Heat mediated antigen retrieval was performed in EDTA buffer (pH8.0, epitope retrieval solution). The tissue section was blocked with 10% goat serum. The tissue section was then incubated with 2 µg/ml rabbit anti-CRABP2 Antibody overnight at 4°C. Peroxidase Conjugated Goat Anti-rabbit IgG was used as secondary antibody and incubated for 30 minutes at 37°C. The tissue section was developed using HRP Conjugated Rabbit IgG Super Vision Assay Kit with DAB as the chromogen.

Western blot analysis of CRABP2 using anti-CRABP2 antibody. Electrophoresis was performed on a 5-20% SDS-PAGE gel at 70V (Stacking gel) / 90V (Resolving gel) for 2-3 hours. The sample well of each lane was loaded with 30 ug of sample under reducing conditions. Lane 1: human MCF-7 whole cell lysates, Lane 2: human T-47D whole cell lysates. After electrophoresis, proteins were transferred to a nitrocellulose membrane at 150 mA for 50-90 minutes. Blocked the membrane with 5% non-fat milk/TBS for 1.5 hour at RT. The membrane was incubated with rabbit anti-CRABP2 antigen affinity purified polyclonal antibody at 0.5 µg/mL overnight at 4°C, then washed with TBS-0.1% Tween 3 times with 5 minutes each and probed with a goat anti-rabbit IgG-HRP secondary antibody at a dilution of 1:5000 for 1.5 hour at RT. The signal is developed using an Enhanced Chemiluminescent detection (ECL) kit with Tanon 5200 system. A specific band was detected for CRABP2 at approximately 17 kDa. The expected band size for CRABP2 is at 17 kDa.
Quick Database Links
UniProt Details
−Documents Download
Request a Document
Protocol Information
CRABP2 Antibody (orb1152358)
Participating in our Biorbyt product reviews program enables you to support fellow scientists by sharing your firsthand experience with our products.
Login to Submit a Review











