You have no items in your shopping cart.
Cytochrome P450 3A4/CYP3A4 Rabbit Polyclonal Antibody
Description
Research Area
Images & Validation
−| Tested Applications | IHC, WB |
|---|---|
| Dilution Range | Immunohistochemistry (Paraffin-embedded Section), 0.5-1μg/ml, Human Western blot, 0.1-0.5μg/ml, Human |
| Reactivity | Human |
Key Properties
−| Antibody Type | Primary Antibody |
|---|---|
| Host | Rabbit |
| Clonality | Polyclonal |
| Isotype | Rabbit IgG |
| Immunogen | A synthetic peptide corresponding to a sequence in the middle region of human CYP3A4. |
| Target | Cytochrome P450 3A4 |
| Molecular Weight | 57 kDa |
| Purification | Immunogen affinity purified. |
| Conjugation | Unconjugated |
Storage & Handling
−| Storage | Maintain refrigerated at 2-8°C for up to 2 weeks. For long term storage store at -20°C in small aliquots to prevent freeze-thaw cycles. |
|---|---|
| Form/Appearance | Lyophilized |
| Buffer/Preservatives | Each vial contains antibody formulated with stabilizing components, 0.9 mg NaCl, 0.2 mg Na2HPO4, and 0.05 mg NaN3. *This antibody is supplied in a stabilized formulation. Compatibility with conjugation reactions depends on the chemistry of the conjugation method used. For conjugation methods that are not compatible with the stabilizing components present in this formulation, a carrier-free antibody format is required. |
| Concentration | Adding 0.2 ml of distilled water will yield a concentration of 500 μg/ml. |
| Expiration Date | 12 months from date of receipt. |
| Disclaimer | For research use only |
Alternative Names
−Similar Products
−Cytochrome P450 3A4/CYP3A4 Rabbit Polyclonal Antibody [orb763029]
ELISA, FC, WB
Human
Rabbit
Polyclonal
Unconjugated
100 μgCytochrome P450 3A4/CYP3A4 Rabbit Polyclonal Antibody [orb1098008]
FC, WB
Human
Rabbit
Polyclonal
Unconjugated
100 μgCytochrome P450 3A4/CYP3A4 Rabbit Polyclonal Antibody (Biotin) [orb2596837]
ELISA, IHC, WB
Human
Rabbit
Polyclonal
Biotin
100 μgCytochrome P450 3A4/CYP3A4 Rabbit Polyclonal Antibody (PE) [orb2596832]
FC
Human
Rabbit
Polyclonal
PE
100 μgCytochrome P450 3A4/CYP3A4 Rabbit Polyclonal Antibody (APC) [orb2596833]
FC
Human
Rabbit
Polyclonal
APC
100 μg

Quality Guarantee
Explore bioreagents carefree to elevate your research. All our products are rigorously tested for performance. If a product does not perform as described on its datasheet, our scientific support team will provide expert troubleshooting, a prompt replacement, or a refund. For full details, please see our Terms & Conditions and Buying Guide. Contact us at [email protected].

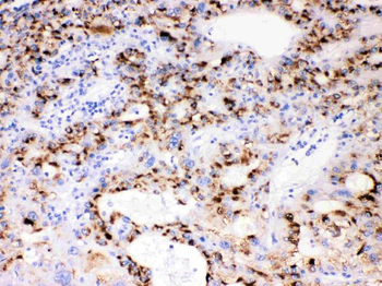
IHC analysis of CYP3A4 using anti-CYP3A4 antibody. CYP3A4 was detected in a paraffin-embedded section of human liver cancer tissue. Heat mediated antigen retrieval was performed in EDTA buffer (pH8.0, epitope retrieval solution). The tissue section was blocked with 10% goat serum. The tissue section was then incubated with 1 µg/ml rabbit anti-CYP3A4 Antibody overnight at 4°C. Biotinylated goat anti-rabbit IgG was used as secondary antibody and incubated for 30 minutes at 37°C. The tissue section was developed using Strepavidin-Biotin-Complex (SABC) with DAB as the chromogen.

Western blot analysis of CYP3A4 using anti-CYP3A4 antibody. Electrophoresis was performed on a 5-20% SDS-PAGE gel at 70V (Stacking gel) / 90V (Resolving gel) for 2-3 hours. The sample well of each lane was loaded with 30 ug of sample under reducing conditions. Lane 1: HELA whole cell lysates. After electrophoresis, proteins were transferred to a nitrocellulose membrane at 150 mA for 50-90 minutes. Blocked the membrane with 5% non-fat milk/TBS for 1.5 hour at RT. The membrane was incubated with rabbit anti-CYP3A4 antigen affinity purified polyclonal antibody at 0.5 µg/mL overnight at 4°C, then washed with TBS-0.1% Tween 3 times with 5 minutes each and probed with a goat anti-rabbit IgG-HRP secondary antibody at a dilution of 1:5000 for 1.5 hour at RT. The signal is developed using an Enhanced Chemiluminescent detection (ECL) kit with Tanon 5200 system. A specific band was detected for CYP3A4 at approximately 57 kDa. The expected band size for CYP3A4 is at 57 kDa.
Quick Database Links
UniProt Details
−Documents Download
Request a Document
Protocol Information
Cytochrome P450 3A4/CYP3A4 Rabbit Polyclonal Antibody (orb381057)
Participating in our Biorbyt product reviews program enables you to support fellow scientists by sharing your firsthand experience with our products.
Login to Submit a Review




