You have no items in your shopping cart.
D-dopachrome decarboxylase DDT Rabbit Polyclonal Antibody
Description
Research Area
Images & Validation
−| Tested Applications | ELISA, IHC, WB |
|---|---|
| Dilution Range | Western blot, 0.1-0.5μg/ml, Human, Mouse, Rat Immunohistochemistry (Paraffin-embedded Section), 0.5-1μg/ml, Human ELISA, 0.1-0.5μg/ml, -, |
| Reactivity | Human, Mouse, Rat |
Key Properties
−| Antibody Type | Primary Antibody |
|---|---|
| Host | Rabbit |
| Clonality | Polyclonal |
| Isotype | Rabbit IgG |
| Immunogen | E. coli-derived human DDT recombinant protein (Position: M1-L118). |
| Target | D-dopachrome decarboxylase |
| Molecular Weight | 13-15 kDa |
| Purification | Immunogen affinity purified. |
| Conjugation | Unconjugated |
Storage & Handling
−| Storage | Maintain refrigerated at 2-8°C for up to 2 weeks. For long term storage store at -20°C in small aliquots to prevent freeze-thaw cycles. |
|---|---|
| Form/Appearance | Lyophilized |
| Buffer/Preservatives | Each vial contains 0.9mg NaCl, 0.2mg Na2HPO4, 0.05mg NaN3. Carrier free (No rAlbumin) form available in stock. If you want this antibody carrier free please specify Carrier Free or No rAlbumin in your order note. |
| Concentration | Adding 0.2 ml of distilled water will yield a concentration of 500 μg/ml. |
| Expiration Date | 12 months from date of receipt. |
| Disclaimer | For research use only |
Alternative Names
−Similar Products
−DDT Rabbit Polyclonal Antibody [orb443173]
IHC, WB
Human, Mouse, Rat
Rabbit
Polyclonal
Unconjugated
100 μgDDT rabbit pAb Antibody [orb771515]
ELISA, IF, IHC
Human, Mouse, Rat
Polyclonal
Unconjugated
100 μl, 50 μlD-dopachrome decarboxylase DDT Rabbit Polyclonal Antibody [orb27669]
IHC, WB
Human, Mouse, Rat
Rabbit
Polyclonal
Unconjugated
100 μg

Quality Guarantee
Explore bioreagents carefree to elevate your research. All our products are rigorously tested for performance. If a product does not perform as described on its datasheet, our scientific support team will provide expert troubleshooting, a prompt replacement, or a refund. For full details, please see our Terms & Conditions and Buying Guide. Contact us at [email protected].

Western blot analysis of DDT using anti-DDT antibody (orb76359, Left) and anti-DDT antibody (orb27669, Right). Electrophoresis was performed on a 5-20% SDS-PAGE gel at 70V (Stacking gel)/90V (Resolving gel) for 2-3 hours. The sample well of each lane was loaded with 30 ug of sample under reducing conditions. Lane 1: human hepatocellular carcinoma tumor tissue (HCCT) lysates, Lane 2: rat liver tissue lysates, Lane 3: mouse liver tissue lysates. After Electrophoresis, proteins were transferred to a Nitrocellulose membrane at 150mA for 50-90 minutes. Blocked the membrane with 5% Non-fat Milk/TBS for 1.5 hour at RT. The membrane was incubated with rabbit anti-DDT antigen affinity purified polyclonal antibody (Catalog # orb76359) and rabbit anti-DDT antigen affinity purified polyclonal antibody (Catalog # orb27669) at 0.5 μg/mL overnight at 4°C, then washed with TBS-0.1%Tween 3 times with 5 minutes each and probed with a goat anti-rabbit IgG-HRP secondary antibody at a dilution of 1:10000 for 1.5 hour at RT. The signal is developed using an Enhanced Chemiluminescent detection (ECL) kit (Catalog # orb90503) with Tanon 5200 system. A specific band was detected for DDT at approximately 13-15 kDa. The expected band size for DDT is at 13 kDa.

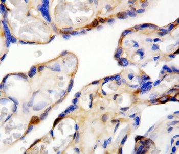
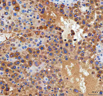
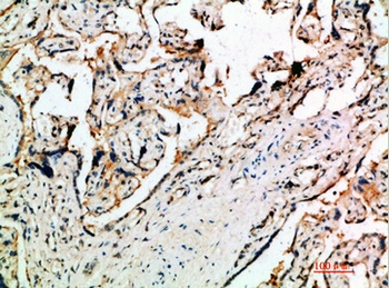
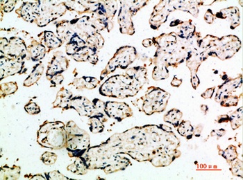
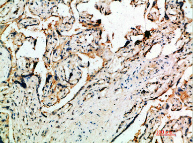
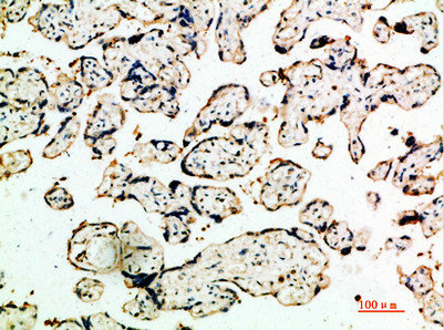
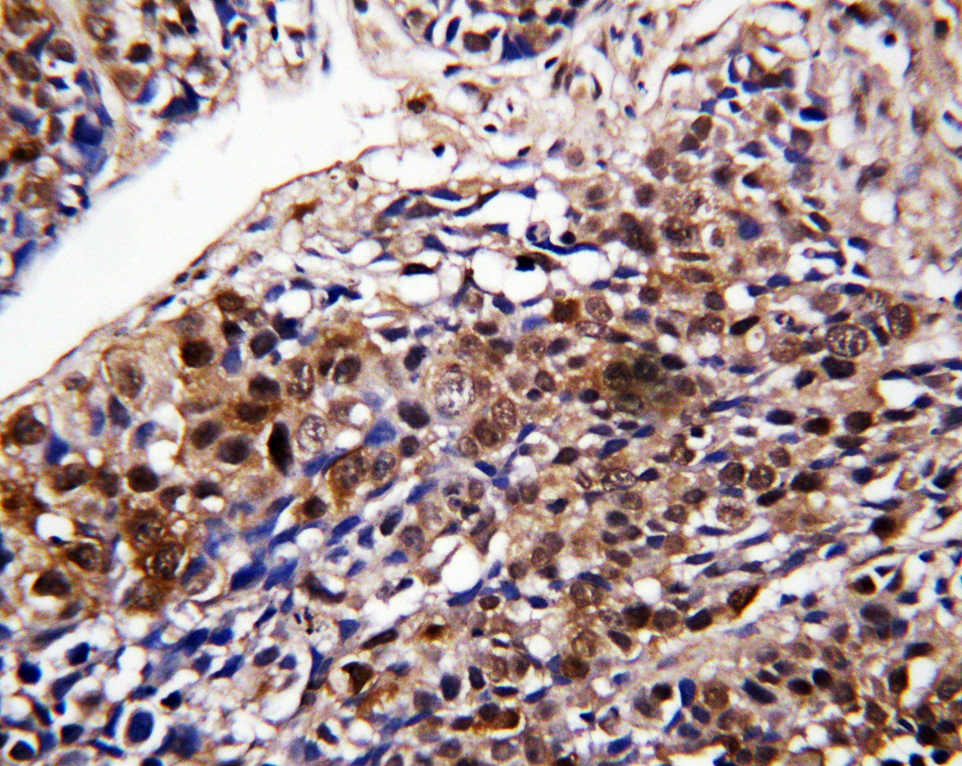
IHC analysis of DDT using anti-DDT antibody (orb76359). DDT was detected in paraffin-embedded section of human placenta tissues. Heat mediated antigen retrieval was performed in citrate buffer (pH6, epitope retrieval solution) for 20 mins. The tissue section was blocked with 10% goat serum. The tissue section was then incubated with 1μg/ml rabbit anti-DDT Antibody (orb76359) overnight at 4°C. Biotinylated goat anti-rabbit IgG was used as secondary antibody and incubated for 30 minutes at 37°C. The tissue section was developed using Strepavidin-Biotin-Complex (SABC) (Catalog # orb90444) with DAB as the chromogen.
Quick Database Links
UniProt Details
−Documents Download
Request a Document
Protocol Information
D-dopachrome decarboxylase DDT Rabbit Polyclonal Antibody (orb76359)
Participating in our Biorbyt product reviews program enables you to support fellow scientists by sharing your firsthand experience with our products.
Login to Submit a Review









