You have no items in your shopping cart.
FGF23 Antibody
Description
Images & Validation
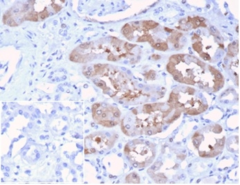
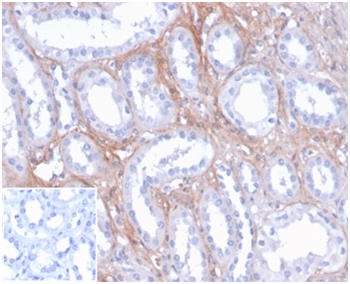
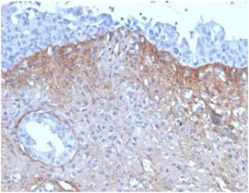
−| Tested Applications | ELISA, FA, FACS, In vivo |
|---|---|
| Reactivity | Human, Monkey |
Key Properties
−| Clonality | Monoclonal |
|---|---|
| Target | FGF23 |
| Source/Expression System | CHO |
| Molecular Weight | 144.08 kDa |
| Purity | >95% |
| Purification | Protein A |
| Endotoxin | <0.001 EU/ug |
| Conjugation | Unconjugated |
Storage & Handling
−| Storage | Maintain refrigerated at 2-8°C for up to 2 weeks. For long term storage store at -20°C in small aliquots to prevent freeze-thaw cycles. |
|---|---|
| Buffer/Preservatives | 100 mM Proline/Acetic acid 20mM Arginine pH 5.0 |
| Concentration | Batch dependent |
| Expiration Date | 12 months from date of receipt. |
| Disclaimer | For research use only |
Similar Products
−Human Fibroblast Growth Factor 23 (FGF23) ELISA Kit [orb775628]
Human
15.63-1000 pg/mL
5.9 pg/mL
96 T, 48 TMouse Fibroblast Growth Factor 23 (FGF23) ELISA Kit [orb776713]
Mouse
15.63-1000 pg/mL
6.6 pg/mL
96 T, 48 TRat Fibroblast Growth Factor 23 (FGF23) ELISA Kit [orb781604]
Rat
15.63-1000 pg/mL
5.6 pg/mL
96 T, 48 TFGF23 Antibody [orb1410135]
IHC
Human
Mouse
Monoclonal
Unconjugated
20 μg, 100 μg, 100 μg (without BSA and Azide)FGF23 Antibody [orb1410174]
IHC
Human
Mouse
Monoclonal
Unconjugated
20 μg, 100 μg, 100 μg (without BSA and Azide)

Quality Guarantee
Explore bioreagents carefree to elevate your research. All our products are rigorously tested for performance. If a product does not perform as described on its datasheet, our scientific support team will provide expert troubleshooting, a prompt replacement, or a refund. For full details, please see our Terms & Conditions and Buying Guide. Contact us at [email protected].

Anti-FGF23 Reference Antibody (burosumab) on SDS-PAGE under reducing (R) condition. The gel was stained with Coomassie Blue. The purity of the protein is greater than 95%.

The purity of Anti-FGF23 Reference Antibody (burosumab)is more than 95% ;determined by SEC-HPLC.
Quick Database Links
UniProt Details
−Documents Download
Request a Document
Protocol Information
FGF23 Antibody (orb1806078)
Participating in our Biorbyt product reviews program enables you to support fellow scientists by sharing your firsthand experience with our products.
Login to Submit a Review







