You have no items in your shopping cart.
Lipoamide Dehydrogenase/DLD Rabbit Polyclonal Antibody
Description
Research Area
Images & Validation
−| Tested Applications | ICC, IF, IHC, IHC-Fr, WB |
|---|---|
| Dilution Range | Western blot, 0.1-0.5μg/ml, Human, Mouse, Rat Immunohistochemistry (Paraffin-embedded Section), 0.5-1μg/ml, Human, Rat, Mouse Immunohistochemistry (Frozen Section), 0.5-1μg/ml, Rat, Mouse Immunocytochemistry, 0.5-1μg/ml, Human, - Immunocytochemistry/Immunofluorescence, 5μg/ml, Human |
| Reactivity | Human, Mouse, Rat |
Key Properties
−| Antibody Type | Primary Antibody |
|---|---|
| Host | Rabbit |
| Clonality | Polyclonal |
| Isotype | Rabbit IgG |
| Immunogen | A synthetic peptide corresponding to a sequence at the C-terminus of human DLD, different from the related mouse and rat sequences by one amino acid. |
| Target | Dihydrolipoyl dehydrogenase, mitochondrial |
| Molecular Weight | 54 kDa |
| Purification | Immunogen affinity purified. |
| Conjugation | Unconjugated |
Storage & Handling
−| Storage | Maintain refrigerated at 2-8°C for up to 2 weeks. For long term storage store at -20°C in small aliquots to prevent freeze-thaw cycles. |
|---|---|
| Form/Appearance | Lyophilized |
| Buffer/Preservatives | Each vial contains antibody formulated with stabilizing components, 0.9mg NaCl, 0.2mg Na2HPO4, 0.01mg Thimerosal, 0.01mg NaN3. *This antibody is supplied in a stabilized formulation. Compatibility with conjugation reactions depends on the chemistry of the conjugation method used. For conjugation methods that are not compatible with the stabilizing components present in this formulation, a carrier-free antibody format is required. |
| Concentration | Adding 0.2 ml of distilled water will yield a concentration of 500 μg/ml. |
| Expiration Date | 12 months from date of receipt. |
| Disclaimer | For research use only |
Alternative Names
−Similar Products
−Lipoamide Dehydrogenase/DLD Rabbit Polyclonal Antibody [orb312105]
FC, ICC, IF, IHC, WB
Human, Mouse, Rat
Rabbit
Polyclonal
Unconjugated
100 μgLipoamide Dehydrogenase/DLD Rabbit Polyclonal Antibody (Fluoro647) [orb3076736]
FC
Human, Mouse, Rat
Rabbit
Polyclonal
Fluoro647
100 μgLipoamide Dehydrogenase/DLD Rabbit Polyclonal Antibody (Fluoro594) [orb3076737]
FC
Human, Mouse, Rat
Rabbit
Polyclonal
Fluoro594
100 μgLipoamide Dehydrogenase/DLD Rabbit Polyclonal Antibody (Fluoro550) [orb3076738]
FC
Human, Mouse, Rat
Rabbit
Polyclonal
Fluoro550
100 μgLipoamide Dehydrogenase/DLD Rabbit Polyclonal Antibody (Fluoro488) [orb3076739]
FC
Human, Mouse, Rat
Rabbit
Polyclonal
Fluoro488
100 μg

Quality Guarantee
Explore bioreagents carefree to elevate your research. All our products are rigorously tested for performance. If a product does not perform as described on its datasheet, our scientific support team will provide expert troubleshooting, a prompt replacement, or a refund. For full details, please see our Terms & Conditions and Buying Guide. Contact us at [email protected].

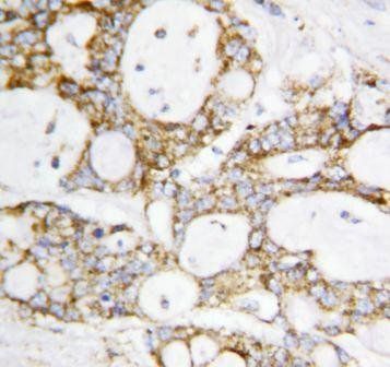
Immunohistochemical staining of paraffin embedded breast cancer tissue using DLD antibody
Quick Database Links
UniProt Details
−Documents Download
Request a Document
Protocol Information
Lipoamide Dehydrogenase/DLD Rabbit Polyclonal Antibody (orb27677)
Participating in our Biorbyt product reviews program enables you to support fellow scientists by sharing your firsthand experience with our products.
Login to Submit a Review




