You have no items in your shopping cart.
SMTN Rabbit Polyclonal Antibody
Description
Research Area
Images & Validation
−| Tested Applications | ELISA, ICC, IF, IHC, WB |
|---|---|
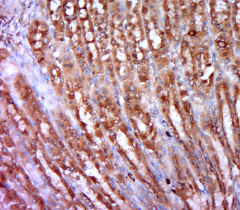
| Dilution Range | Western blot, 0.1-0.25 μg/ml, Human, Mouse, Rat Immunohistochemistry (Paraffin-embedded Section), 2-5μg/ml, Human Immunocytochemistry/Immunofluorescence, 5 μg/ml, Human ELISA, 0.1-0.5 μg/ml, - |
| Reactivity | Human, Mouse, Rat |
Key Properties
−| Antibody Type | Primary Antibody |
|---|---|
| Host | Rabbit |
| Clonality | Polyclonal |
| Isotype | IgG |
| Immunogen | E.coli-derived human SMTN recombinant protein (Position: E72-D881). |
| Target | Smoothelin |
| Molecular Weight | 120 kDa |
| Purification | Immunogen affinity purified. |
| Conjugation | Unconjugated |
Storage & Handling
−| Storage | Maintain refrigerated at 2-8°C for up to 2 weeks. For long term storage store at -20°C in small aliquots to prevent freeze-thaw cycles. |
|---|---|
| Form/Appearance | Lyophilized |
| Buffer/Preservatives | Each vial contains 4 mg Trehalose, 0.9 mg NaCl, 0.2 mg Na2HPO4. |
| Concentration | Adding 0.2 ml of distilled water will yield a concentration of 500 μg/ml. |
| Expiration Date | 12 months from date of receipt. |
| Disclaimer | For research use only |
Alternative Names
−Similar Products
−Smoothelin Rabbit Polyclonal Antibody [orb158429]
IF, IHC-Fr, IHC-P, WB
Bovine, Canine, Mouse, Porcine, Primate, Rabbit
Human, Rat
Rabbit
Polyclonal
Unconjugated
50 μl, 100 μl, 200 μlSMTN polyclonal antibody [orb641883]
WB
Human, Mouse, Rat
Rabbit
Polyclonal
Unconjugated
100 μl, 200 μl, 50 μlSmoothelin Rabbit Polyclonal Antibody (HRP) [orb471407]
IHC-Fr, IHC-P, WB
Bovine, Canine, Mouse, Porcine, Primate, Rabbit
Human, Rat
Rabbit
Polyclonal
HRP
100 μlSmoothelin Rabbit Polyclonal Antibody (PE) [orb487284]
IF
Bovine, Canine, Mouse, Porcine, Primate, Rabbit
Human, Rat
Rabbit
Polyclonal
PE
100 μl

Quality Guarantee
Explore bioreagents carefree to elevate your research. All our products are rigorously tested for performance. If a product does not perform as described on its datasheet, our scientific support team will provide expert troubleshooting, a prompt replacement, or a refund. For full details, please see our Terms & Conditions and Buying Guide. Contact us at [email protected].

IF analysis of SMTN using anti-SMTN antibody and anti-Beta Tubulin antibody. SMTN was detected in immunocytochemical section of A549 cell. Enzyme antigen retrieval was performed using IHC enzyme antigen retrieval reagent for 15 mins. The cells were blocked with 10% goat serum. And then incubated with 5 µg/mL rabbit anti-SMTN Antibody and mouse anti-Beta Tubulin antibody overnight at 4°C. Cy3 Conjugated Goat Anti-Rabbit IgG and FITC Conjugated Goat Anti-Mouse IgG were used as secondary antibody at 1:500 dilution and incubated for 30 minutes at 37°C. Visualize using a fluorescence microscope and filter sets appropriate for the label used.

Western blot analysis of SMTN using anti-SMTN antibody. Electrophoresis was performed on a 5-20% SDS-PAGE gel at 70V (Stacking gel) / 90V (Resolving gel) for 2-3 hours. The sample well of each lane was loaded with 30 ug of sample under reducing conditions. Lane 1: human Colo320 whole cell lysates, Lane 2: human PC-3 whole cell lysates, Lane 3: human U20S whole cell lysates, Lane 4: human 293T whole cell lysates, Lane 5: rat stomach tissue lysates, Lane 6: rat heart tissue lysates, Lane 7: mouse stomach tissue lysates, Lane 8: mouse heart tissue lysates. After electrophoresis, proteins were transferred to a nitrocellulose membrane at 150 mA for 50-90 minutes. Blocked the membrane with 5% non-fat milk/TBS for 1.5 hour at RT. The membrane was incubated with rabbit anti-SMTN antigen affinity purified polyclonal antibody at 0.25 µg/mL overnight at 4°C, then washed with TBS-0.1% Tween 3 times with 5 minutes each and probed with a goat anti-rabbit IgG-HRP secondary antibody at a dilution of 1:5000 for 1.5 hour at RT. The signal is developed using an Enhanced Chemiluminescent detection (ECL) kit with Tanon 5200 system. A specific band was detected for SMTN at approximately 120 kDa. The expected band size for SMTN is at 99 kDa.
Quick Database Links
UniProt Details
−Documents Download
Request a Document
Protocol Information
SMTN Rabbit Polyclonal Antibody (orb1939904)
Participating in our Biorbyt product reviews program enables you to support fellow scientists by sharing your firsthand experience with our products.
Login to Submit a Review


