You have no items in your shopping cart.
AOF1 Antibody
Description
Images & Validation
−| Tested Applications | FC, ICC, IHC |
|---|---|
| Dilution Range | IHC: 1/200 - 1/1000; IF/ICC: 1/200 - 1/1000; FCM: 1/200 - 1/400; ELISA: 1/10000 |
| Reactivity | Human |
Key Properties
−| Antibody Type | Primary Antibody |
|---|---|
| Host | Mouse |
| Clonality | Monoclonal |
| Isotype | Mouse IgG1 |
| Clone No. | 5E10C1 |
| Immunogen | Purified recombinant fragment of human AOF1 (AA: 6-129) expressed in E. Coli. |
| Target | AOF1 |
| Molecular Weight | 92kDa |
| Conjugation | Unconjugated |
Storage & Handling
−| Storage | Maintain refrigerated at 2-8°C for up to 2 weeks. For long term storage store at -20°C in small aliquots to prevent freeze-thaw cycles. |
|---|---|
| Buffer/Preservatives | Purified antibody in PBS with 0.05% sodium azide |
| Concentration | Approximately 1mg/ml (varies from batch to batch). Please inquire for precise concentration. |
| Expiration Date | 12 months from date of receipt. |
| Disclaimer | For research use only |
Alternative Names
−Similar Products
−KDM1B Rabbit Polyclonal Antibody [orb331342]
WB
Bovine, Canine, Equine, Guinea pig, Mouse, Porcine, Rabbit, Rat
Human
Rabbit
Polyclonal
Unconjugated
100 μlKDM1B Recombinant Rabbit Monoclonal Antibody [orb2562473]
FC, ICC, IP, WB
Mouse, Rat
Human
Rabbit
Recombinant
Unconjugated
25 μl, 50 μl, 100 μl

Quality Guarantee
Explore bioreagents carefree to elevate your research. All our products are rigorously tested for performance. If a product does not perform as described on its datasheet, our scientific support team will provide expert troubleshooting, a prompt replacement, or a refund. For full details, please see our Terms & Conditions and Buying Guide. Contact us at [email protected].

Immunofluorescence analysis of HeLa cells using AOF1 antibody

Immunofluorescence analysis of HeLa cells using AOF1 antibody

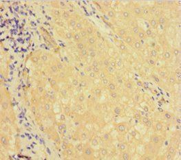
Immunohistochemical analysis of formalin-fixed and paraffin-embedded esophageal cancer tissues using AOF1 antibody

Immunohistochemical analysis of formalin-fixed and paraffin-embedded rectum cancer tissues using AOF1 antibody

Western blot analysis of human recombinant protein using AOF1 antibody

Western blot analysis of HEK293 using AOF1 antibody

ELISA Black line: Control Antigen (100 ng); Purple line: Antigen(10ng); Blue line: Antigen (50 ng); Red line: Antigen (100 ng)

Flow cytometric analysis of Hela cells using AOF1 antibody
Documents Download
Request a Document
Protocol Information
AOF1 Antibody (orb333988)
Participating in our Biorbyt product reviews program enables you to support fellow scientists by sharing your firsthand experience with our products.
Login to Submit a Review




