You have no items in your shopping cart.
ARF1 Antibody
Description
Images & Validation
−| Tested Applications | FC, ICC, IHC |
|---|---|
| Dilution Range | IHC: 1/200 - 1/1000; IF/ICC: 1/200 - 1/1000; FCM: 1/200 - 1/400; ELISA: 1/10000 |
| Reactivity | Human |
Key Properties
−| Antibody Type | Primary Antibody |
|---|---|
| Host | Mouse |
| Clonality | Monoclonal |
| Isotype | Mouse IgG2a |
| Clone No. | 8D8E9 |
| Immunogen | Purified recombinant fragment of human ARF1 (AA: 76-182) expressed in E. Coli. |
| Target | Disease |
| Molecular Weight | 20.7kDa |
| Conjugation | Unconjugated |
Storage & Handling
−| Storage | Maintain refrigerated at 2-8°C for up to 2 weeks. For long term storage store at -20°C in small aliquots to prevent freeze-thaw cycles. |
|---|---|
| Buffer/Preservatives | Purified antibody in PBS with 0.05% sodium azide |
| Concentration | Approximately 1mg/ml (varies from batch to batch). Please inquire for precise concentration. |
| Expiration Date | 12 months from date of receipt. |
| Disclaimer | For research use only |
Similar Products
−ARF1 Rabbit Polyclonal Antibody [orb330535]
IHC, IP, WB
Bovine, Canine, Equine, Guinea pig, Rabbit, Sheep, Yeast, Zebrafish
Human, Mouse, Rat
Rabbit
Polyclonal
Unconjugated
100 μlARFGAP1 Rabbit Polyclonal Antibody [orb389390]
FC, ICC, IF, IHC, WB
Human, Mouse, Rat
Rabbit
Polyclonal
Unconjugated
100 μgARF GAP1 rabbit pAb Antibody [orb769628]
ELISA, IF, IHC, WB
Bovine, Human, Monkey, Mouse, Rat
Polyclonal
Unconjugated
100 μl, 50 μl

Quality Guarantee
Explore bioreagents carefree to elevate your research. All our products are rigorously tested for performance. If a product does not perform as described on its datasheet, our scientific support team will provide expert troubleshooting, a prompt replacement, or a refund. For full details, please see our Terms & Conditions and Buying Guide. Contact us at [email protected].

Line graph illustrates about the Ag-Ab reactions using different concentrations of antigen and serial dilutions of ARF1 antibody

Flow cytometric analysis of Hela cells using ARF1 antibody

Immunofluorescence analysis of SK-OV-3 cells using ARF1 antibody

Immunofluorescence analysis of HL-7702 cells using ARF1 antibody

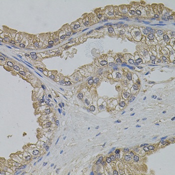
Immunohistochemical staining of human stomach cancer tissue using ARF1 antibody

Immunohistochemical staining of human bladder cancer tissue using ARF1 antibody

Western blot analysis of HEK293 cell lysate using ARF1 antibody

Western blot analysis of recombinant protein using ARF1 antibody
Documents Download
Request a Document
Protocol Information
ARF1 Antibody (orb379652)
Participating in our Biorbyt product reviews program enables you to support fellow scientists by sharing your firsthand experience with our products.
Login to Submit a Review




















