You have no items in your shopping cart.
ARIH2 Rabbit Polyclonal Antibody
Description
Research Area
Images & Validation
−| Tested Applications | IHC, WB |
|---|---|
| Reactivity | Human |
| Predicted Reactivity | Bovine, Canine, Equine, Guinea pig, Mouse, Rabbit, Rat |
Key Properties
−| Host | Rabbit |
|---|---|
| Clonality | Polyclonal |
| Immunogen | The immunogen is a synthetic peptide directed towards the N terminal region of human ARIH2 |
| Target | ARIH2 |
| Protein Sequence | Synthetic peptide located within the following region: EDYDPNCEEEEEEEEDDPGDIEDYYVGVASDVEQQGADAFDPEEYQFTCL |
| Molecular Weight | 58kDa |
| Purification | Protein A purified |
| Conjugation | Unconjugated |
Storage & Handling
−| Storage | Maintain refrigerated at 2-8°C for up to 2 weeks. For long term storage store at -20°C in small aliquots to prevent freeze-thaw cycles. |
|---|---|
| Buffer/Preservatives | Liquid. Purified antibody supplied in 1x PBS buffer with 0.09% (w/v) sodium azide and 2% sucrose. |
| Concentration | 1.0 mg/ml |
| Expiration Date | 12 months from date of receipt. |
| Disclaimer | For research use only |
Alternative Names
−Similar Products
−Arih2 Rabbit Polyclonal Antibody [orb583782]
IHC, WB
Bovine, Canine, Equine, Guinea pig, Mouse, Rabbit
Human, Rat
Rabbit
Polyclonal
Unconjugated
100 μlARIH2 Rabbit Polyclonal Antibody (HRP) [orb470562]
ELISA, IHC-Fr, IHC-P
Bovine, Gallus, Human, Mouse, Porcine, Rabbit, Rat
Rabbit
Polyclonal
HRP
100 μlARIH2 Rabbit Polyclonal Antibody [orb78420]
ELISA, IHC, WB
Mouse, Rat
Human
Rabbit
Polyclonal
Unconjugated
100 μgARIH2 Rabbit Polyclonal Antibody [orb583781]
WB
Bovine, Canine, Equine, Guinea pig, Mouse, Rabbit, Rat
Human
Rabbit
Polyclonal
Unconjugated
100 μl

Quality Guarantee
Explore bioreagents carefree to elevate your research. All our products are rigorously tested for performance. If a product does not perform as described on its datasheet, our scientific support team will provide expert troubleshooting, a prompt replacement, or a refund. For full details, please see our Terms & Conditions and Buying Guide. Contact us at [email protected].

Sample Type: Jurkat, Lane A: Primary Antibody, Lane B: Primary Antibody + Blocking Peptide, Primary Antibody Concentration: 1.25 ug/ml. Peptide Concentration: 1.0 ug/ml. Lysate Quantity: 25 ug/lane, Gel Concentration: 12%. There is BioGPS gene expression data showing that ARIH2 is expressed in Jurkat.

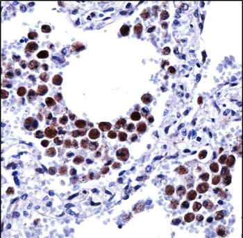
Human Lung

WB Suggested Anti-ARIH2 Antibody Titration: 2.5 ug/ml, Positive Control: Jurkat cell lysate, There is BioGPS gene expression data showing that ARIH2 is expressed in Jurkat.
Documents Download
Request a Document
Protocol Information
ARIH2 Rabbit Polyclonal Antibody (orb575075)
Participating in our Biorbyt product reviews program enables you to support fellow scientists by sharing your firsthand experience with our products.
Login to Submit a Review







