You have no items in your shopping cart.
ARSG Antibody
SKU: orb350289
Description
Research Area
Disease Biomarkers
Images & Validation
−Item 1 of 2
| Tested Applications | ELISA, IHC, WB |
|---|---|
| Dilution Range | WB:1:1000-5000, IHC-P:1:20-200 |
| Reactivity | Human |
Key Properties
−| Host | Rabbit |
|---|---|
| Clonality | Polyclonal |
| Isotype | IgG |
| Immunogen | Recombinant Human Arylsulfatase G protein (17-525AA) |
| Target | ARSG |
| Purification | >95%, Protein G purified |
| Conjugation | Unconjugated |
Storage & Handling
−| Storage | Maintain refrigerated at 2-8°C for up to 2 weeks. For long term storage store at -20°C in small aliquots to prevent freeze-thaw cycles. |
|---|---|
| Form/Appearance | Liquid |
| Buffer/Preservatives | Preservative: 0.03% Proclin 300. Constituents: 50% Glycerol |
| Expiration Date | 12 months from date of receipt. |
| Disclaimer | For research use only |
Alternative Names
−anti-ASG antibody, anti-UNQ839/PRO1777 antibody, anti-KIAA1001 antibody, anti-ARSG antibody
Similar Products
−Arylsulfatase G rabbit pAb Antibody [orb768145]
ELISA, IF, IHC, WB
Human, Mouse, Rat
Polyclonal
Unconjugated
100 μl, 50 μl

Quality Guarantee
Explore bioreagents carefree to elevate your research. All our products are rigorously tested for performance. If a product does not perform as described on its datasheet, our scientific support team will provide expert troubleshooting, a prompt replacement, or a refund. For full details, please see our Terms & Conditions and Buying Guide. Contact us at [email protected].

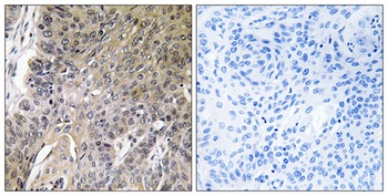
Immunohistochemistry of paraffin-embedded human skeletal muscle tissue using ARSG antibody

Western blot aanalysis of Hela whole cell lysateusing ARSG antibody
Quick Database Links
Gene Symbol
ARSG
UniProt
UniProt Details
− No UniProt data available
Documents Download
Datasheet
Product Information
Request a Document
Protocol Information
WB
Western Blot (IB, immunoblot)
IHC
Immunohistochemistry
ELISA
Enzyme-linked Immunosorbent Assay (EIA)
ARSG Antibody (orb350289)
Based on 0 reviews
Participating in our Biorbyt product reviews program enables you to support fellow scientists by sharing your firsthand experience with our products.
Login to Submit a Review








