You have no items in your shopping cart.
ATF1 Antibody (C-term)
Description
Research Area
Images & Validation
−| Tested Applications | FC, WB |
|---|---|
| Dilution Range | WB: 1:1000, FACS: 1:10-50 |
| Reactivity | Human |
Key Properties
−| Antibody Type | Primary Antibody |
|---|---|
| Host | Rabbit |
| Clonality | Polyclonal |
| Isotype | Rabbit IgG |
| Clone No. | RB22228 |
| Immunogen | Synthetic Peptide |
| Target | ATF1 |
| Molecular Weight | 29233 |
| Conjugation | Unconjugated |
Storage & Handling
−| Storage | Maintain refrigerated at 2-8°C for up to 2 weeks. For long term storage store at -20°C in small aliquots to prevent freeze-thaw cycles |
|---|---|
| Form/Appearance | Purified polyclonal antibody supplied in PBS with 0.09% (W/V) sodium azide. This antibody is purified through a protein A column, followed by peptide affinity purification. |
| Expiration Date | 12 months from date of receipt. |
| Disclaimer | For research use only |
Alternative Names
−Similar Products
−ATF1 Antibody [orb213588]
IF, IHC, WB
Bovine, Human, Mouse, Rat
Rabbit
Polyclonal
Unconjugated
30 μl, 100 μl, 200 μl, 50 μl

Quality Guarantee
Explore bioreagents carefree to elevate your research. All our products are rigorously tested for performance. If a product does not perform as described on its datasheet, our scientific support team will provide expert troubleshooting, a prompt replacement, or a refund. For full details, please see our Terms & Conditions and Buying Guide. Contact us at [email protected].

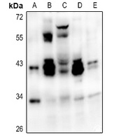
Western blot analysis of ATF1 Antibody (C-term) in Jurkat cell line lysates (35 ug/lane). ATF1 (arrow) was detected using the purified Pab.

ATF1 Antibody (C-term) flow cytometric analysis of Jurkat cells (right histogram) compared to a negative control cell (left histogram). FITC-conjugated goat-anti-rabbit secondary antibodies were used for the analysis.
Quick Database Links
UniProt Details
−NCBI Reference Sequences
−| Protein | NP_005162.1 |
|---|
Documents Download
Request a Document
Protocol Information
ATF1 Antibody (C-term) (orb35155)
Participating in our Biorbyt product reviews program enables you to support fellow scientists by sharing your firsthand experience with our products.
Login to Submit a Review



